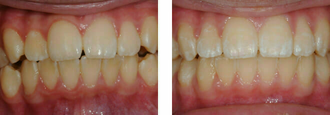
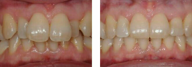
Complex orthodontic case with multiple missing teeth
This patient came to us with 2 big issues: he had a number of failing teeth in the lower jaw at the front. Due to gum (periodontal) disease these teeth had come loose and started to grow apart splaying out…















