Using the Damon Braces system for full teeth straightening you can now have an improved smile in far less time and with far fewer visits to the dentist than for conventional dental brace treatments.

The Damon system is up to six months faster, whilst comfortable, and works for patients of all ages and (in the majority of cases) straightens your teeth without the need for tooth extraction.

There are also payment plans available for this treatment; see below

Who is the Damon treatment suitable for?

The Damon System may be just what you are looking for if any of the following apply to you:

  • You are unhappy with the appearance of more than just a few teeth at the front of your mouth
  • You need a full brace, but want one that works more quickly than conventional treatments
  • You want to avoid potentially invasive treatments like crowns and veneers
  • You have had orthodontic treatment in the past that is now relapsing

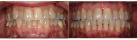
The before and after photographs below show you what can be achieved using Damon bracket technology:

Example 1

In dental terms, the Damon System can help people with a number of problems from deep overbite, extreme crowding, jaw pain, jaw clicking to simple overlapping of front teeth.

Before and after treatment with the Damon System
Before and after treatment with the Damon System

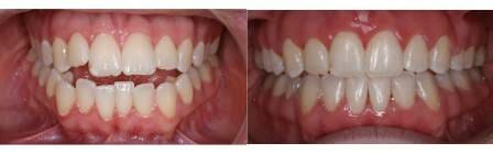
Example 2

Damon before and after examples
Before and after treatment with the Damon System

“The Damon System means great results with shorter treatment times and fewer appointments.”

Damon benefits at a glance:

  • Greater comfort without the need for tightening
  • Extractions usually not needed
  • No headgear
  • More comfortable
  • Faster treatment
  • Its gentle and safe
  • Easy to keep teeth clean for better oral hygiene
  • You’ll want to be in every photograph!

What makes the Damon system different to other braces?

The Damon System is designed to deliver a smile that will last long. To create a superb new smile for you, your Damon orthodontist will take a number of factors into account. This will include the shape of your face, your profile and what you will look like in your 40s, 50s and beyond. Your orthodontist will then design a brace for you that uses very light “shape memory” titanium wires to gently guide your teeth to their ideal position. The Damon System, does more than simply straighten your teeth; it acts as a passport to a beautiful smile and a new and happier you.

After treatment with Damon braces
After treatment with the Damon System (a picture from the Damon Braces web site)

How long does treatment take?

Treatment time with the Damon System is typically much faster than with conventional braces. Also, far fewer appointments are required during treatment. Shortest Damon treatment times will be around 6 months with more complex treatments lasting around a year.

Is the Damon System safe?

The Damon System is very gentle and very safe. It uses more biologically sensitive forces and far less friction than conventional braces to guide your teeth into their improved positions.

Does it hurt?

Damon braces don’t require tightening and so many people experience very little discomfort indeed during their treatment. The Damon System uses braces that have a unique slide mechanism. This allows your dentist to use far lighter forces to move your teeth into their correct positions. So not only is your treatment shorter, but using the Damon approach, it is also far more comfortable.

Will I need to have any teeth pulled?

Whereas with conventional braces, orthodontists are often forced to pull teeth in order to create space in a crowded mouth, The Damon System works with the body’s natural adaptive processes to create space naturally. This means that dentists using the Damon System can now treat most cases without having to remove a single tooth. So a Damon smile tends to be broader and more natural – and have a nicer profile. And what’s more, you’ll enjoy your new smile for many years because it will last as you age.

Does the treatment require headgear or palatal expanders?

The Damon System’s revolutionary approach uses very light forces to create space and develop beautiful natural arches. This makes it far easier and more comfortable to get the beautiful smile you’ve always dreamed of and (in most cases) this can all be achieved without the need for headgear or palatal expanders.

How visible are the braces?

Braces are much smaller than they were just a few years ago, and new materials are now used that make them very discreet. You can also choose to have white brackets fitted to your teeth which, although a little more expensive, makes your brace very discreet.

What age groups is the treatment suitable for?

The Damon System is suitable for patients of all ages. Adults can be treated quickly and easily, and can be assured of a really high-quality result.

How much does treatment with The Damon System cost?

An initial appointment to discuss the stages involved in treatment and assess your suitability costs just is currently offered free at The Art of Dentistry for the summer.

The costs are available in our orthodontic price list

Why choose The Art of Dentistry?

The Art of Dentistry has been helping improve patients’ smiles for 15 years. We have an unmatched choice of treatments, so we can help you choose the right one for you. We’re a friendly, pain-less practice.

What’s the next step?

If you would like to know more about The Damon System and find out whether it’s the right treatment, please call us to speak to one of our staff or book a short cosmetic consultation.

The Free Consultation

Without seeing things for ourselves, we can’t tell people what their options are.

And so with that in mind, we are happy to offer free consultations, as this is a big decision for most people. We are careful to take budget, comfort and appearance into account when explaining all the available choices and there is never any pressure to proceed, and certainly not on the day.

We set out to be a friendly practice and try to provide everybody with what’s right for them, at an affordable cost. We hope our dentist reviews give that impression.

"*" indicates required fields

This field is for validation purposes and should be left unchanged.

The Damon Braces System Price List

The following costs for The Damon Braces System are correct when written, but they can change. We will provide written pricing for each ‘cosmetic treatment’ as part of our free consultation.You don’t have to be a member to have treatment at The Art of Dentistry.

Dental Plan£23.35/month
Treatment TypeMember Pricing From
Routine Examination£80
Small x-rays£25
Airflow Stain Removal - All Teeth£40
OPG (Large Panoramic X-ray)£109
New Patient Examination + two x-rays£140
Full Case Assessment - Implants£185
CT Scan£190
Boutique Whitening£363
Orthodontic PricesMember Pricing From
(non member prices apply to referrals as well)
All Orthodontic assessments include general exam and case preparation as necessary
Full Case Assessment£230
Metal Fixed BracesMember Pricing From
Full Case Assessment£230
6 months / Simple Crowding£1,699
12 months / Medium Crowding£2,249
18 months£2,799
24+ months£3,560
Complex CasesCome for a Consultation!
FinanceOnline Application
Cosmetic Fixed BracesMember Pricing From
Full Case Assessment£230
6 months / Simple Crowding£2,099
12 months / Medium Crowding£2,699
18 months£3,455-£4,050
24+ months£4,300
Complex CasesCome for a Consultation!
FinanceOnline Application
Invisalign BracesMember Pricing From
Full Case Assessment£230
< 30 aligners£3,650
> 30 aligners£4,200
RetainersMember Pricing From
Fixed retainers£130
Removable retainers£195
Mouth GuardsMember Pricing From
Sports Guard£160
Bite Guard£295
Children's TreatmentMember Pricing From
Children (5-16)£45
Examination (under 5 years old)FREE
Fissure Sealant£42
Examination (6-16 years old)£45
Routine Hygiene if parent's on plan£45
Deciduous Filling£42
Extraction of Deciduous Tooth£45
Permanent Filling as per adult fees