At The Art of Dentistry, we provide premium Italian fillings as standard.

Tooth coloured filling require a 100% moisture free environment during their placement – which is why we use a dental dam for any white fillings we do at the back of the mouth. (As used by cosmetic dentists in the US).

Premium Italian Methods

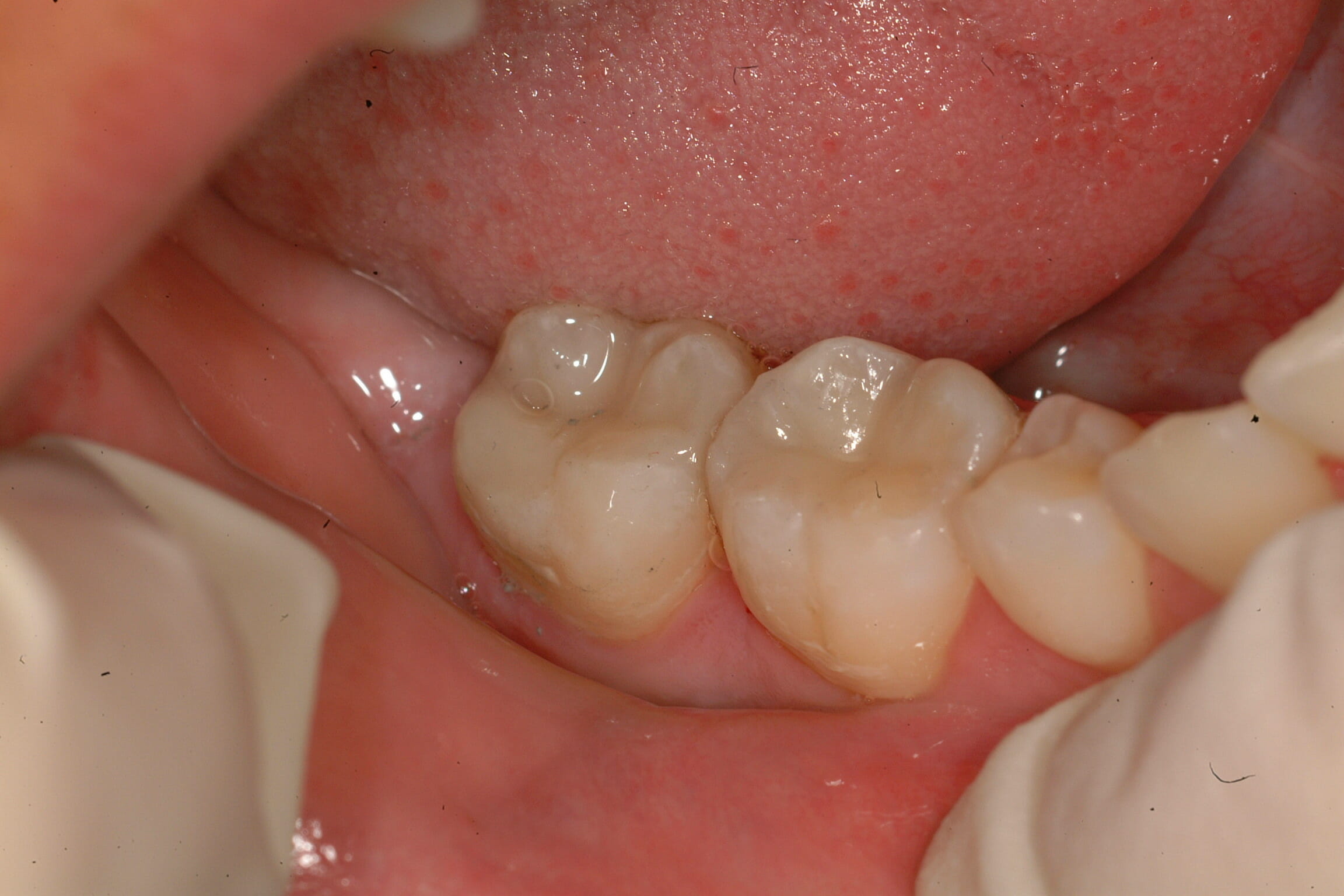
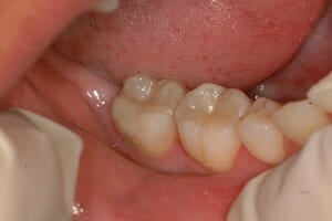
Our Premium Italian fillings are simply the best: a fusion of the gold standard technique (as learned under Dr Lorenzo Vanini of Italy) with the gold standard cosmetic filling material (Enamel Plus from Mycerium – developed by Dr Vanini).

premium italian fillings

Advantages

  • 5 years (Dr Vanini has shown that these fillings can last up to 20 years)
  • Indistinguishable from natural tooth enamel (practically invisible and great looking)

Disadvantages

  • These fillings take longer to do – ie more time in the chair
  • Which means the cost is higher than standard white fillings, but they last

*Prices quoted are for members on our Care Plan – it’s free to join! Find out more, click here.

The Free Consultation

Without seeing things for ourselves, we can’t tell people what their options are.

And so with that in mind, we are happy to offer free consultations, as this is a big decision for most people. We are careful to take budget, comfort and appearance into account when explaining all the available choices and there is never any pressure to proceed, and certainly not on the day.

We set out to be a friendly practice and try to provide everybody with what’s right for them, at an affordable cost. We hope our dentist reviews give that impression.

"*" indicates required fields

This field is for validation purposes and should be left unchanged.

General Dentistry Price List

The following costs for General Dentistry are correct when written, but they can change. We will provide written pricing for each ‘cosmetic treatment’ as part of our free consultation.You don’t have to be a member to have treatment at The Art of Dentistry.

Dental Plan£23.35/month
FillingsMember Pricing From
Small Italian Filling£180
Medium Italian Filling£250
Large Italian Filling£295

What they say about us

Brett – Getting over the Fear

I would just like to say thank you to Andrew and his team for helping me get over my fear of dentists and injections. Two fillings and an extraction later and I can safely say that my fear has almost gone.

I would recommend The Art of Dentistry to anyone who has a similar phobia. I can’t fault the care and reassurance that was given to me by the team. The treatment was completely painless for which I am most grateful.

Thank you