Teeth replacement options are growing steadily year on year.
New teeth materials, techniques, and technology are all adding to the choices available for replacement teeth.
Teeth Replacement Options
Whether you have one tooth, a few teeth or even a whole jaw-full missing, your choice will include thoughts of comfort, budget and lasting value. Firstly, some things to bear in mind
We can always help
Your circumstances will affect all of these choices, but we at The Art of Dentistry Dental Clinic are confident that for nearly everybody we see there is a solution.
Even if you have been told before that nothing can be done, we almost always can help restore the smile. Moreover, our techniques are almost certain to provide a way for you to walk out with replacement teeth on clinic day.
Before you can make any final decisions, you will always need a scan.
You can’t tell what you need just by looking
It is worth emphasising that, without a full CT scan, nobody can tell you your options, not even us – and we have thousands of replacement teeth cases completed by Dr Andrew and our team. As we like to say, you can’t tell just by looking.
Before any teeth replacement treatment, we take patients through the following considerations and assess their suitability for treatment. Once we have established everything you need to know, only after this will we take a Digital CT scan – it is the only way to know exactly what can be done.
- Dentures
- Immediate Replacement Dental Implants
- Dentures supported by implants
- Full Mouth Teeth Replacement
We’ve also put together some guides to teeth replacement, depending on your situation.

As Simple Dental Implants get ever more advanced, they bring a real improvement in the quality of life. Act quickly if you lose a tooth

The Art of Dentistry is a state-of-the-art Dental Implant Dental Practice, and we are offering options for same-day new teeth.

A complete new set of teeth (a full arch either at the top, bottom or both) can be fitted, in a day, without the need to go anywhere near a hospital.
Implant Retained Dentures > >

For the replacement of multiple teeth, Removable Implant Teeth (Implant-Dentures) represent an excellent option for comfort, appearance, function and cost:
Full Mouth Dental Implant > >

Innovative same-day full jaw teeth replacement. Restore the quality of life with our implant-based system; they look and feel like your own teeth.
The WeldOne System > >

The WeldOne Dental Implant system allows us to deliver a bespoke Same-Day Teeth Replacement Service. The WeldOne Dental Implant system allows us to deliver a
It is ok to be nervous
We have practised pain management with our dentistry since the turn of the century. This is the first step towards making our patients as comfortable as possible.
But, patients who need teeth replacement can be more nervous than anyone. It can partly be because of fear of dentistry that people have avoided in the past, and they need more work done as a result.
Our team are very sympathetic, and we probably know as much as any of our nervous patients, as we have worked with nerves many times before. Often, it is as simple as taking the time to talk through what will happen and what to expect. A smile or two goes an awful long way.
Please look at our dental phobia reviews to see what nervous patients have experienced. It feels great afterwards.
Dentures
Dentures are removable teeth (also known as ‘false teeth’). Not everyone realises that they can be used to replace single teeth as well as many teeth.

Dentures are for you if:
- You need teeth replaced quickly (48 hours for emergencies)
- You have old dentures which are loose, but you got on well with them when they fitted
- You don’t mind having bulky teeth in the mouth
- You are happy taking them out for cleaning after meals
- You are happy to leave your teeth out overnight
- You are looking for the most economical tooth replacement treatment
Dentures can be made of Acrylic or Metal or we also make ‘Flexi-dentures‘ now. Each material has its own advantages and disadvantage which you read about here.
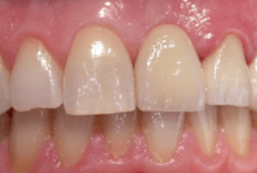
Bridges
Dental bridges have been around for 100 years. Until dental implants came along dental bridges were considered the gold standard treatment for the replacement of single teeth or a number of teeth.

Bridges may be the treatment for you if:
- You have sound teeth to attach to – usually either side of a gap.
- You have crowns either side of a gap anyway
- You are replacing an old bridge that has given good service over a long period
- Your bone is not suitable for dental implants
Advantages
- Can achieve excellent aesthetic results
- Long lived (10 years possible)
- Feel like real teeth
- Quick procedure- bridges can be completed in 2 weeks
- Fixed in place so don’t move around (but not removable like dentures)
- Less expensive than implants
Disadvantages
- Requires solid teeth to fix the bridge to
- Bridge support teeth have to be drilled down to make room for the bridge
- Bridge support teeth will often fail in the long term because of the extra strain on them imparted by the bridge (5 yrs +)
- Not suitable for replacing more than 2 teeth in a row
- Not possible if large number of teeth are missing
- Not possible if teeth missing do not have a solid tooth behind them to act as a back bridge support
- Much more expensive than dentures
We also do Temporary Bridges
This is a sub-species of bridges called ‘Maryland’ or ‘Rochette’ bridge. These bridges are suitable for only a single tooth and glue onto the next door tooth.
They make excellent fixed ‘temporary’ teeth but will only last a few months – especially if they are used as temporary back teeth.
These bridges do not require drilling of the next door tooth as they simply glue on, however they are prone to dislodging and we only use them as temporaries.
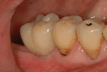
Dental Implants
Titanium implants are now routinely used to replace missing teeth.
A minor surgical procedure is undertaken to gently screw a titanium implant into the bone where a tooth is missing. We do this using local anaesthetic and it is gentler than a tooth extraction! We can provide sedation for this treatment if you wish. We offer oral sedation, free of charge.

The titanium post needs to be left for a short time for the bone and gum to heal around it before it can be used to support a new tooth on top of it.
Once that happens, the titanium becomes one with the bone around it and is not visible when the patient smiles.
Dental implants can replace one, a few or all the teeth in the mouth. If many teeth need to be replaced with implants, then we do not put an implant in for every tooth that is missing. Instead, we fabricate bridges that fix onto the implants so that each implant supports more than one tooth.
Dental implants can also be used to secure dentures in place. These are called ‘implant retained dentures‘ – super dentures that can be used to present the World News without fear of them falling out, and equally at home chewing through a juicy steak!
Advantages
- Versatile – can be used to replace 1 tooth, 2 teeth or a whole mouth
- Aesthetics are excellent, they look like real teeth
- No drilling of next-door teeth required
- Stand-alone – Implants do not rely on the patient’s own teeth to secure them, so they actually relieve the load on remaining teeth. This avoids potential issues with bridges and dentures as the healthy teeth are left alone
- Feel just like your own teeth
- Very secure – patients eat a normal diet, implants don’t fall out or move when eating/speaking
- Long-lived – implants last over 10 years, the longest surviving implants have been in place for 25 years now
Disadvantages
- More expensive than bridges and much more expensive than acrylic dentures
- Need more upkeep than simple dentures such as regular visits to the hygienist
- More difficult to clean around
- Treatment time is longer (usually 12 weeks)
Free Consultation
Without seeing things for ourselves, we can’t tell people what their options are.
And so with that in mind, we are happy to offer free consultations, as this is a big decision for most people. We are careful to take budget, comfort and appearance into account when explaining all the available choices and there is never any pressure to proceed, and certainly not on the day.
We set out to be a friendly practice and try to provide everybody with what’s right for them, at an affordable cost. We hope our dentist reviews give that impression.
What they say about us
Complicated Implant Case
My name is Sue and I am nearly 65 years old and had a terrific fear of Dentists I could cry just knowing I had to go. The teeth in my lower jaw were becoming loose and having no option went to another Dentist who said “at my age what did I expect and my jaw bone would not hold my teeth and they would all fall out and I would have to have a denture” I was devastated.
I phoned around and went to see a number of Dentists about implants and the attitude of the people left a a to be desired I was about to give up and one more phone call I was lucky enough to phone Alan at the Billericay branch and what a difference. I told him the problem and he was so positive light hearted and friendly I for the first time felt more confident.
They scan all patients at their Harold Wood branch where I met Andrew
What a good job. I had a cyst in my jaw bone which had eaten a hole through the bone and made matters more complicated as it had exposed the nerves in my face and I could not have a bone implant but all the time Alan and Andrew were still confident they could help me.
I told them I was scared out of my brains and they promised me that I would not feel any pain through the procedure which took 5 hours and 40minutes
- My lower teeth were extracted
- Titanium frame made and fitted in the mouth
- Titanium acrylic bridge fitted
- Implants placed immediately
All this work was carried out on the same day and I walked out with a full lower set of teeth. Alan and Andrew were true to their word I had no pain not only during but after the procedure.
The aftercare had been absolutely fantastic I consider I am one of the most critical people around and I cannot fault the care and attention I have received.
I cannot thank Alan and Andrew enough not once did they mention my age nor my vanity as an oap they have taken away my fear of dentists if you want a laugh at what was me a very stressful time, do not hesitate to go to them they make you feel so at ease
I would like to say thank you to Alan and Andrew for all the consideration they have shown me
Thank you
Life Changing Smile Makeover
For years I had wanted to have lovely teeth, I have a huge smile and it was looking worse and worse, I had a mish mash of teeth on a plate, awful fillings and discolouration. I was fast losing confidence and my smile. No one wanted to take on the challenge – then I found Andrew and his team.
Straight away Andrew decided what was to be done and when I was really worried and couldn’t believe anyone could give me back my smile Andrew took the time to call me and go through all the treatment with me giving me the confidence to go ahead with the treatment.
Thank goodness I took the plunge, it is life changing not only can I really smile again but I can eat properly oh the joy of biting on an apple!!
I really can’t thank Andrew and his team enough – it was an adventure at the end of which I got the treasure, not only my amazing new winning smile but all my dear new friends at The Art of Dentistry. If you are considering treatment – don’t hesitate – it is truly life changing and I cannot thank Andrew and his team enough.
Branch: Romford, Essex
This case, Smile Makeover before and after photos
Dental Services: Smile Makeover, Denture Replacements, Implant Retained Dentures









