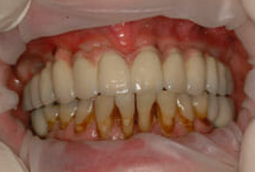
The end result

This picture shows the results of the implant and upper bridge – the patient is also due back soon so can that we can either improve or replace the remaining lower front teeth.
I’m not at liberty to show the ‘before pics’ for this case, however suffice to say – everyone was delighted with the results so far: 12 shiny new implant-bridge teeth in the upper jaw (supported by 7 implants) plus 4 strong new molars to make eating a far more pleasurable experience.
I will update this case study with a final ‘end result’ picture when we have it.
Patient situation
When this lady came to see us she had been so nervous that she had literally been hiding from the dentist for decades (not to mention hiding her teeth from everyone else). She had just 3 teeth left in the top jaw, which, due to infection, were literally hanging on by a thread; yet were also trying to support an understandably ill-fitting denture. In the lower jaw there were just 6 front and 3 intermediate (bicuspid) teeth, with no back teeth (molars) at all.
The Art of Dentistry solution
We placed 7 implants, to support a bridge of 12 teeth in the top jaw and 4 implants in the lower jaw to replace the missing lower molars. The surgery was performed under sedation so that the patient couldn’t even remember it afterwards, a nice way of doing this work for someone who is very nervous.
Free Consultation
Without seeing things for ourselves, we can’t tell people what their options are.
And so with that in mind, we are happy to offer free consultations, as this is a big decision for most people. We are careful to take budget, comfort and appearance into account when explaining all the available choices and there is never any pressure to proceed, and certainly not on the day.
We set out to be a friendly practice and try to provide everybody with what’s right for them, at an affordable cost. We hope our dentist reviews give that impression.
Book a Free Consultation
"*" indicates required fields







