Dental Implants Before and After Gallery

Teeth in a day case to replace wobbly/missing/failing teeth caused by gum disease in the upper jaw

Teeth in a Day in Romford, Essex | The Art of Dentistry Dental Clinic

This lady came to us with multiple failing teeth in the upper jaw. When she first came she thought all the lowers had failed too but we were able to save the lowers by carrying out a full course of gum (periodontal) disease treatment with our hygiene team. After the analysis appointment and 3D digital planning using our CT scanner…

Dental Services: Dental ImplantsImplant Bridges

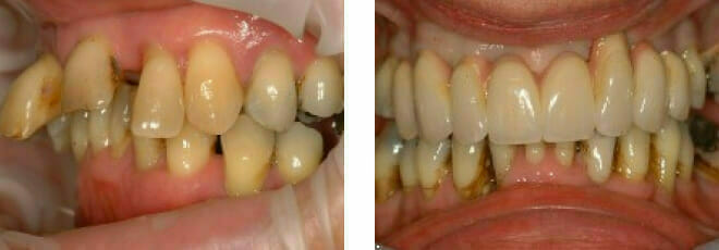
Implants and Crowns (upper and lower)

Dental Crowns and Implants in Romford, Essex | Upper and Lower Teeth | The Art of Dentistry

This patient had lost all confidence in his appearance. This was affecting his work and relationships. He tried to avoid smiling or smiled with his lips together. When he laughed which was seldom, he raised a hand over his mouth. He thought all his teeth had failed. In fact we were able to save most of his teeth except a…

Dental Services: Dental Implants

In the beginning we simply listen

We Simply Listen to your Dental Concerns | Cosmetic Dentistry in Romford, Essex | The Art of Dentistry Dental Clinic

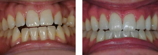
Poor appearance of the front teeth coupled with missing back teeth was getting this lady down. She couldn’t smile for fear of showing people her gaps and broken/chipped teeth, and she couldn’t eat because all the back teeth were missing in the upper jaw. She couldn’t remember the last time she had eaten at a restaurant. The first thing we…

Dental Services:  Closing GapsDental ImplantsPainless DentistrySmile Makeover

The beauty of porcelain crowns on ageing teeth and implants

Porcelain Crowns and Ageing | Cosmetic Dentistry in Romford, Essex

This lady was in her 70’s but still had most of her own teeth. They were just tired. Wear and tear and sub optimal dental work over the years had taken their toll. We replaced the missing back teeth allowing her to enjoy her food and a full diet again for the first time in years and added porcelain (ceramic)…

Dental Services:  Dental ImplantsSmile Makeover

Many of us want a more natural look

Not Everyone Wants to Look Like Rylan | Cosmetic Dentistry in Romford, Essex | The Art of Dentistry Dental Clinic

This is especially true for some of our older patients who simply want to be able to look in the mirror without flinching. In these case patients are not in a desperate state, they have just suffered a gradual decline in dental health and appearance of some decades: a missing tooth here, an unsightly old crown there, staining, white fillings…

Dental Services:  Dental ImplantsSmile MakeoverTeeth Whitening

Failing teeth from Gum/Periodontal disease

Failing Teeth from Periodontal Disease | Gum Disease Treatment in Romford, Essex | The Art of Dentistry Dental Clinic

This lady had all three. Within 2 months we had fixed a whole new set of teeth in place using Implant retained dentures upper and lower. Implant dentures are the most cost effective way of replacing a full jaw or arch of teeth or a whole set.     And they can be made to look fantastic. Her confidence was…

Dental Services:  Dental ImplantsDentures

Full Mouth of Implants

This lady was in her 50s and came to us in a desperate state. She was unable to eat because she could not chew her food. She had a very big smile and showed all her teeth but was unable to smile because she was so embarrassed by the old front teeth and the gaps showing. She was keen on…

Dental Services:  Dental ImplantsImplant BridgesPainless Dentistry

Missing front tooth

missing front tooth before and after

This young chap came to us in his late 20s. He had a sports injury playing rugby in his teens which had knocked out the tooth. He had been wearing an old denture ever since. He was starting a new job and wanted to have the confidence of a fixed tooth in place as the denture needed daily gluing and…

Dental Services:  Dental ImplantsSmile Makeover

Total Implant Makeover

This lady came to us in a desperate state. She had lost all confidence and had become a recluse because she was unable to smile due to the condition of her teeth and gums.

Dental Services:  Dental Implants

Combined dental implant and orthodontic treatment

Young man was in his early 30s and still had a baby tooth which was small, damaged and loose on the upper left. He was unhappy with his lopsided smile and tried not to smile too broadly as the old baby tooth really showed…

Dental Services: Closing GapsDental ImplantsOrthodonticsTeeth Straightening

Big gaps and missing back teeth

This is a case where orthodontics and dental implants were used. First we closed the big gaps at the front using a fixed clear brace (this took under 12 months…

Dental Services: Dental ImplantsOrthodonticsTeeth Straightening

Overbite reduction, lower crooked teeth, straightening

This gentleman was in his 50s and didn’t like his buck teeth, increased overbite and jumbled lower teeth. we fitted clear brackets and realigned all the teeth over approximately…

Dental Services: Dental ImplantsOrthodonticsTeeth Straightening

Smile Makeover Upper Denture Replacement

When this lady came to us, she had been thinking for a long time that she was beyond the point where she could regain her smile. A lot of people think this…

Dental Services: Cosmetic DentistryDental ImplantsDenturesSmile Makeover

Upper & Lower Implant Retained Dentures

This lovely lady had lost most of her teeth (and confidence) when she came to us. The remaining teeth were discoloured and very wobbly. We were able to totally reconstruct…

Dental Services: Dental ImplantsDenturesImplant Retained DenturesTeeth Replacement

Implant Retained Dentures

This lady came to us because her old bridge was finally failing completely and had become quite an eyesore. The few remaining upper teeth were decidedly wobbly…

Dental Services: Dental ImplantsGeneral DentistryImplant Retained Dentures

Full Upper Ceramic Implant Bridge

This gentleman had some some implant teeth fitted in Eastern Europe on the upper right side. He was happy that his eastern european bridge functioned correctly but …

Dental Services: Dental ImplantsImplant Bridges

Full Upper & Lower Titanium Acrylic Bridges on Implants

This chap came to us because he had had an accident which had destroyed many of his teeth and what teeth he had remaining were very wobbly. He is in his 40s and hated…

Dental Services: Dental ImplantsImplant Bridges

Titanium Acrylic Bridge Full Upper Arch

This lady was referred in by her dentist because she was having terrible trouble getting on with her new upper denture. She found that it was making her gag and had stopped wearing it…

Dental Services: Dental ImplantsImplant Bridges

Implant Bridge Replacing Lower Incisors

Implant bridges are a great way of replacing a few missing teeth. What some people don’t realise is that we only

Dental Services: Dental ImplantsGeneral DentistryImplant Bridges

Full Upper Implant Bridge

This lady came to us because she was having trouble eating due to the upper teeth moving a lot.She was also suffering some pain from the upper teeth and finally, she wanted to improve…

Dental Services: Dental ImplantsImplant Bridges

Implant Bridges

This chap came to us one of the most dental – nervous people I’ve met. He was also hugely embarrassed by his smile and had been smiling with his lips pursed together for 10 years!

Dental Services: Cosmetic DentistryDental ImplantsImplant BridgesPainless DentistryWhite Fillings