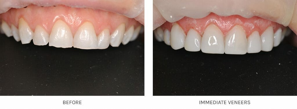
Also known as Instant Veneers, ‘Immediate (composite) Veneers’ are a new way of delivering Teeth Veneers that makes Cosmetic Dentistry much more accessible to a wide range of people.
Immediate veneers offer outstanding value starting from £435 per tooth
Complimentary teeth whitening available with 6 or more veneers. To sum up, they are much less expensive, less invasive and quicker than traditional Veneers:
- Immediate Veneers can be done in one visit, after the initial consultation
- Immediate Veneers can be repaired easily if chipped
- Preparation of the tooth is quicker, and fitting is done at same visit (40mins/tooth rather than 90mins/tooth)
- There is no lab fee for preparation, which reduces our costs, and we pass this on

Once the decision has been made, why wait? Composite veneers are fitted in a single visit, whilst avoiding the ‘irreversible’ nature of conventional smile-design/ceramic veneers. Teeth don’t have to be ground down.
And lastly, Immediate Veneers don’t have the ‘fragility’ of ceramic veneers, so if one breaks or chips then it is easily repaired: the whole veneer does not have to be replaced.
These are not ‘temporary’ veneers, they are designed to last.
Immediate veneers are a great option
The only downside is that the ‘lustre’ and surface finish is not quite as good as ceramic (but look at the difference in cost!)
This last point is important. Immediate veneers rely on the artistic skill of the dentist. For some dentists, it may not be possible to get good enough results this way which is one reason why getting ceramic veneers ‘ready-made’ by the technician is so popular with dentists!
Alternatives:
You may have tried whitening and been dissatisfied with the results, it may be that Airflow Teeth Stain Removal could work for you – see why
Feel free to browse a gallery selection of our before and after
Cosmetic Dentistry case studies
Free Consultation Request
Without seeing things for ourselves, we can’t tell people what their options are.
And so, with that in mind, we are happy to offer free consultations, as this is a big decision for most people. We are careful to take budget, comfort and appearance into account when explaining all the available choices. There is never any pressure to proceed, certainly not on the day.
We set out to be a friendly practice and try to provide everybody with what’s right for them at an affordable cost. We hope our dentist reviews give that impression.
"*" indicates required fields
Teeth Veneers Price List
The following costs for Single Teeth Veneers are correct when written, but they can change. We will provide written pricing for each ‘cosmetic treatment’ as part of our free consultation. You don’t have to be a member to have treatment at The Art of Dentistry.
| Dental Plan | £23.35/month |
|---|
| Veneers | Member Pricing From |
|---|---|
| Immediate Veneers | £499 |
| Composite Veneers | £499 |
| Ceramic Veneers | £890 |
| Treatment Type | Member Pricing From |
|---|---|
| Routine Examination | £80 |
| Small x-rays | £25 |
| Airflow Stain Removal - All Teeth | £40 |
| OPG (Large Panoramic X-ray) | £109 |
| New Patient Examination + two x-rays | £140 |
| Full Case Assessment - Implants | £185 |
| CT Scan | £190 |
| Boutique Whitening | £363 |
Spread the cost of your treatment 0%
Don’t let upfront costs get in the way of important dental treatment. We offer interest-free finance up to 12 months and you can book your treatment immediately.
You will need to complete a simple, online credit application, which one of our team can help you with or you can apply now. Click on the button below to proceed.

What they say about us
Care and Attention
Victoria H – A big thank you to the team!
I would firstly like to say this is the first review I have ever left on a website.
After 18 months of disastrous visits to a highly recommended dental practise I was left with what I considered to be unsightly teeth and so disappointed and upset by the outcome. I then went to visit Andrew Fennell. I cannot say enough in this short review about the quality of his work, total professionalism, care, attention to detail but most importantly the outcome of what was achieved. He took on what other dentists had declined to do, and I am utterly thrilled at the result.
I have given permission for Andrew to use my before and after photographs on the website, and I think people can decide for themselves. The quality of his work is so very visible, and I cannot thank him enough for the way it’s made me feel. I would describe the practise as one of excellence, the standards, care, consideration and overall professionalism I think is outstanding.
Finally I think it is important to add that from the moment I picked up the phone and spoke to Debbie, who instilled huge faith immediately, right through to having the treatment with Victoria assisting and Julie finalising things for me I have to say the girls who work with Andrew are wonderful. I hope people don’t think this review is too long and anyone considering having any dental work I hope will read this and decide to put their faith in Andrew’s practise. Once again a big thank you to you all, I really am very grateful. All my friends and family will now be attending the practice.
Dental Review Notes:
Victoria – thanks so much for leaving that review, we’re lucky to have the team!
Dental Services: Painless Dentistry, Teeth Veneers






