The demand for Dental Veneers has been growing rapidly in the UK, and Essex in particular.
Why Composite Veneers?
We are more used to dazzling smiles and brought up on American TV with wall to wall veneers and cosmetic smiles. We can see that having great teeth and a wide smile is attractive, and everybody wants to look their best on Zoom.
Solving Problems or Looking Good
You don’t need a problem to consider having a new, whiter, straighter smile based on veneers. Looking good makes you smile, everyone smiles back and suddenly the world is a happier place.
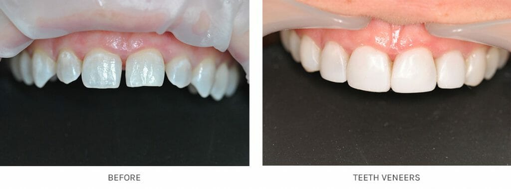
But, if you’re someone who has worn, stained, chipped, or damaged teeth then this could be a great way to both fix those problems and a fabulous way to feel better about yourself.
You can walk out of the dental clinic with a brand new smile in just a single appointment!
Cosmetic Dental Veneer Description
This is a different procedure to a dental crown, dental bridge, or dental fillings which, although using similar materials, are more functional than aesthetic treatments.
Composite Veneers is a relatively new procedure that has been adopted by dentists all around the world who are interested in conserving the underlying tooth structure and keeping the patient’s mouth healthy.
Benefits of Composite Veneers
- Immediate Veneers can be done in one visit, after the initial consultation
- We discuss the colour required and level of brightness is to your taste
- Immediate Veneers can be repaired easily if chipped – consider the reversibility!
- Preparation of the tooth is quicker, and fitting is done at same visit (40mins/tooth rather than 90mins/tooth)
- There is no lab fee for preparation, which reduces our costs, and we pass this on
- Much less expensive, less invasive and quicker than traditional Veneers:
Once the decision has been made, why wait? Composite veneers are fitted in a single visit, whilst avoiding the ‘irreversible’ nature of conventional smile-design/ceramic material.
And lastly, Immediate Veneers don’t have the ‘fragility’ of ceramic or porcelain veneers, so if one breaks or chips then it is easily repaired: the whole veneer does not have to be replaced.
These are not ‘temporary’ veneers, they are designed to last. See also our composite bonding page.
They are beautiful

A gallery of some of our cosmetic dentists creations
How to choose
Immediate veneers are a great option to achieving that perfect smile that everybody wants.
The only downside to composite veneers is that the ‘lustre’ and surface finish is less translucent than the ceramic veneers and they will stain more easily (so patients might choose to have them polished annually). But the balance of the appearance of straighter whiter and even shaped teeth, the lower cost and the speed of treatment, explains why composites are winning.
Finally, another element of choice is the dentist has to be very good at crafting the shaping and polishing!
This last point is important. Immediate veneers rely on a level of artistic skill to work with material, whilst Porcelain Veneers are easier for the dentist, having them made by technicians in the lab, with digital technology.
Why Choose Us
But with The Art of Dentistry, we have years of experience of handling veneers, and what’s more, you won’t be limited with your options. We have such a wide range of solutions for you to choose from to achieve that perfect smile!
Jamie and Andrew are both very experienced cosmetic dentists and modestly, are great at what they do,
If you’re still unsure if getting veneers is the right choice for you, we offer FREE consultation. Just fill out the form below and we will get in touch with you as soon as possible.
If you don’t want to head down to our clinic for a consultation right away, we can offer remote consultation for you!
Just send us images of your teeth and we can advise you with options you can choose from. Fill out the form below and we’ll send you the instructions on the best angles to take pictures to e-mail.
Feel free to browse a gallery selection of our before and after
Cosmetic Dentistry case studies
Free Consultation Request
Without seeing things for ourselves, we can’t tell people what their options are.
And so with that in mind, we are happy to offer free consultations, as this is a big decision for most people. We are careful to take budget, comfort and appearance into account when explaining all the available choices and there is never any pressure to proceed, and certainly not on the day.
We set out to be a friendly practice and try to provide everybody with what’s right for them, at an affordable cost. We hope our dentist reviews give that impression.
"*" indicates required fields
Teeth Veneers Price List
The following costs for Single Teeth Veneers are correct when written, but they can change. We will provide written pricing for each ‘cosmetic treatment’ as part of our free consultation. You don’t have to be a member to have treatment at The Art of Dentistry.
| Dental Plan | £23.35/month |
|---|
| Veneers | Member Pricing From |
|---|---|
| Immediate Veneers | £499 |
| Composite Veneers | £499 |
| Ceramic Veneers | £890 |
| Treatment Type | Member Pricing From |
|---|---|
| Routine Examination | £80 |
| Small x-rays | £25 |
| Airflow Stain Removal - All Teeth | £40 |
| OPG (Large Panoramic X-ray) | £109 |
| New Patient Examination + two x-rays | £140 |
| Full Case Assessment - Implants | £185 |
| CT Scan | £190 |
| Boutique Whitening | £363 |
Spread the cost of your treatment 0%
Don’t let upfront costs get in the way of important dental treatment. We offer interest-free finance up to 12 months and you can book your treatment immediately.
You will need to complete a simple, online credit application, which one of our team can help you with or you can apply now. Click on the button below to proceed.

What they say about us
Ruth – Don’t be scared of sedation!
Dental Services: Cosmetic Dentistry, General Dentistry, Invisalign, Orthodontics, Painless Dentistry, Porcelain Crowns
Rob – Rebuilding my Smile
After two weeks with my fab new smile, I feel inspired to share my experience.
From my first meeting and consultation with Andrew Fennell, I felt comfortrouble and at ease, a first for me I’m afraid, previous dentists must have studied at Dewhurst I think, nuff said.
I had a series of missing, loose and broken crowns, and my smile had disappeared and distorted over time. Andrew offered different options to rebuild the smile, we worked out the most cost effective way in my case would be a bridge, great, compared with dentures I was offered everywhere else this was fantastic and I was very happy to start treatment.
The Art of Dentistry attitude to pain management must be commended! That for me was a very big fear and what kept me away from a dentist for too long. The painless injection system used by Andrew was the most reassuring experience possible, from then on I was happy to go through hours of work and even have a laugh during treatment at times, amazing. Other patients reading this will know what I mean when I talk about the synergy between Andrew and his nurses during treatment, it’s almost like going to a gig with the level of intuition and communication on display, and has changed my mind about dentists forever (well some anyway).
So having also seen Andrew blow a mean blues harmonica, I can understand this better!
The skill and communication on display between Andrew, and the entire team are what makes The Art of Dentistry brilliant. The atmosphere, the statue, the smiles on the faces of other waiting clients, just make the whole experience really enjoyable.
My smile recommends The Art of Dentistry to everybody I meet. Thank you all and see you soon no doubt for hygienist and other delights.
Dental Services: Cosmetic Dentistry, General Dentistry, Hygiene, Dental Implants, Painless Dentistry, Porcelain Crowns, Smile Design






