100% Porcelain Crowns. Quite simply, they are the most beautiful and faithful imitations of natural teeth.
Crowns that are indistinguishable from real teeth – pure porcelain layered lovingly by our Master Ceramist to mimic natural enamel’s colour translucency and fluorescence.
And these crowns fit as perfectly as they appear: the core structure is computer milled for pinpoint accuracy before being hand finished under a microscope by our Master Ceramist, Stephen Fennell, who says:
- Historically porcelain crowns had a metal substructure to be strong enough to last in the mouth.
- This metal substructure blocked natural light transmission through the tooth, often leaving the crown with a rather dead appearance.
- Today, with the use of enormously strong ceramic substructures we can make metal-free, all-porcelain crowns that have a vitality that approaches natural teeth.
Having porcelain crowns means No More:
- black lines at the top of the crowns
- opaque, flat, dead-looking teeth that stand out like sore thumbs
- misshapen “teeth” with big black triangles on either side
- swollen gums around in-precise crowns that never fitted properly

Beauty Strength and Function – with these crowns you really can have your cake and eat it!
Our Approach to Dental Crowns
On your first visit, for the preparation of the tooth, we will take impressions, discuss and show you the shading to match the existing teeth.
We look to preserve as much of the original tooth as possible. If veneers, inlays or white fillings are an option for you, then we will offer those to consider as a first step. However, crowns are often wanted to improve the appearance of the teeth, and if crowns are the best course of action, after the impressions we will prepare the tooth.
Zirconia is the strongest Ceramic around (they clad the space shuttle in it to prevent it from burning up on re-entry). The latest Zirconia has been re-engineered to make light pass through it like natural enamel while masking the discolouration of the old tooth structure beneath. Beauty and Strength.
For most of our tooth crowns, we use the latest Ceramic Zirconia material.
Whilst the permanent crown is being made by the cosmetic lab, we will give you a temporary crown.
When you come back to the practice, the crown is closely fitted onto the prepared tooth and is permanently bonded for strength.
Our dental implant systems use these high-quality cosmetic crowns, and our dentists are experienced in achieving the ideal shape and shading. All our treatment here at The Art of Dentistry is highly cosmetic in nature.
The long-term appearance is as important to us as the longevity of the tooth function.
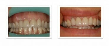
Jo: Case Study
Jo just hated her front teeth. The “cosmetic crowns” that she had had previously due to a condition that affected the enamel on her teeth made her teeth look crooked and had black lines showing near her gums.
Jo didn’t feel able to smile properly and tended to smile with her lips tightly pursed.
It took just two appointments to achieve aesthetic harmony again for Jo: she was thrilled and found her true smile in no time: the new all porcelain crowns not only looked natural, but we were also able to straighten the teeth and restore her smile symmetry again.

Come and see us, talk through your options. Send us a message, or call us for a chat.
The Free Consultation
Without seeing things for ourselves, we can’t tell people what their options are.
And so with that in mind, we are happy to offer free consultations, as this is a big decision for most people. We are careful to take budget, comfort and appearance into account when explaining all the available choices and there is never any pressure to proceed, and certainly not on the day.
We set out to be a friendly practice and try to provide everybody with what’s right for them, at an affordable cost. We hope our dentist reviews give that impression.
"*" indicates required fields
Porcelain Crowns Price List
The following costs for Porcelain Crowns are correct when written, but they can change. We will provide written pricing for each ‘cosmetic treatment’ as part of our free consultation. You don’t have to be a member to have treatment at The Art of Dentistry.
| Dental Plan | £23.35/month |
|---|
| Treatment Type | Member Pricing From |
|---|---|
| Routine Examination | £80 |
| Small x-rays | £25 |
| Airflow Stain Removal - All Teeth | £40 |
| OPG (Large Panoramic X-ray) | £109 |
| New Patient Examination + two x-rays | £140 |
| Full Case Assessment - Implants | £185 |
| CT Scan | £190 |
| Boutique Whitening | £363 |
| Crowns & Bridges | Member Pricing From |
|---|---|
| Core Prior to Crown | £105 |
| Post Prior to Crown | £195 |
| Instant Crown | £349 |
| Temporary Bridge, per tooth | £396 |
| Cosmetic Crown | £890 |
| Inlay prep and impressions | £930 |
| All Ceramic Crown | £990 |
| 3 unit bridge Impressions | £2,750 |
| Implant Bridge 3 teeth | £3,400 |
What they say about us
Ruth – Don’t be scared of sedation!
DON’T BE SCARED OF SEDATION……..IT’S BRILLIANT….TRUST ME!!!
I came in for 4 hours sedation with your FANTASTIC sedationist Doctor Damian. It was recommended as I needed 10 upper crowns and surgery to even up my gum lines. This involved a very lengthy treatment, which thankfully I was not aware of. Amazingly I was told to eat and drink before treatment. The drug process to put me to sleep was not in the least bit traumatic. It only involved a tiny needle, with just one drop at a time of the drug. When I came round, I did not feel unwell in the least (just not quite with it). It was a totally stress free experience, and I recommend it to anyone undergoing lengthy/complex work.
Andrew is also doing a brilliant job, sorting out my general and cosmetic dentistry…..BEFORE AND AFTER his clever Dad Michael straightened them for me with Invisalign.
The girls are all great too, and I am SO lucky to have found the perfect team at The Art of Dentistry!
Dental Services: Cosmetic Dentistry, General Dentistry, Invisalign, Orthodontics, Painless Dentistry, Porcelain Crowns
Christine – Creating a Natural Smile
I found the The Art of Dentistry website whilst looking for a dentist to replace an unsatisfactory NHS crown. The honest and straightforward approach of this site encouraged me to call and make an appointment.
Andrew welcomed me with a warm, friendly smile that made me feel at ease as I explained the reason for my visit. He completely understood why I was unhappy and said the crown could certainly be replaced with one more acceptable in looks and practicality.
We then discussed how I felt about my teeth generally and I mentioned that I had always been unhappy with my two front teeth, which were rather prominent and dominated my narrow smile. After looking at them, Andrew suggested that by having crowns on eight of my upper front teeth, I could solve both my problems and increase the width of my smile at the same time.
There was no pressure to make a decision straight away and I left to think over my choices. I decided to have the eight crowns. Although it would be a major step, and involve a lot of work, I was already confident that Andrew would provide me with the best possible result. As my treatment proceeded smoothly and painlessly I can honestly say that I looked forward to each appointment.
My transformation was completed five weeks ago and the result has exceeded all my expectations. The new crowns feel very natural so that I forget about them until I look in a mirror; then I’m really happy because I now have the smile I always wanted.
Many thanks to everyone at The Art of Dentistry for all their hard work.
Dental Services: Cosmetic Dentistry, Painless Dentistry, Porcelain Crowns, Smile Design






