People Smiling with Nice Smiles in Romford, Essex | The Art of Dentistry Dental Clinic

Widening the smile and fixing a crossbite

Dental Services: Orthodontics

   

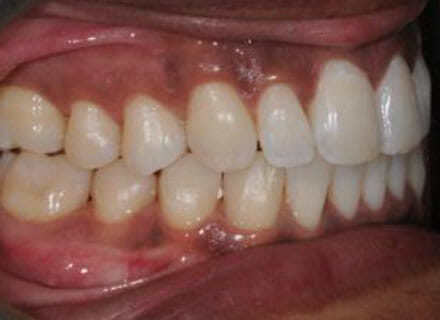
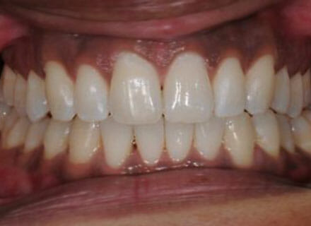
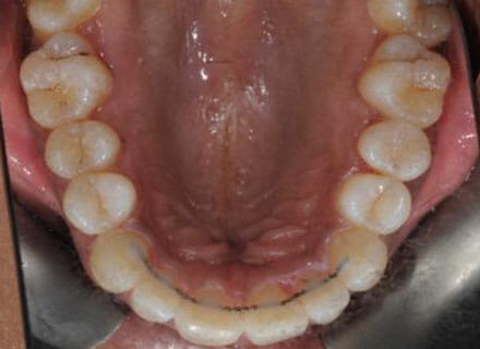
This patient was unhappy that his upper jaw was too small and did not fit with his lower jaw. the bite was all wrong and the front teet stuck out too much. We widened the upper jaw using a wire on the inside at the same time as using clear bracket brace wires on the outside to straighten the teeth. Using both inside and outside wire braces together reduced treatment time by 30% – 40% and the results speak for themselves.

   

   

   

   

   

Copyright © 2022 – The Art of Dentistry Limited as part of Dentex Health registered in England and Wales with Company Number 07180457. All Rights Reserved.

Finance Options | Privacy Document

APPOINTED REPRESENTATIVES: “The Art of Dentistry are an Appointed Representative of Chrysalis Finance Limited, which is authorised and regulated by the Financial Conduct Authority to carry out the regulated activity of credit broking.”