
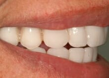
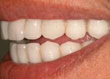
This lovely lady had lost most of her teeth (and confidence) when she came to us. The remaining teeth were discoloured and very wobbly.
We were able to totally reconstruct her mouth using photographs to match how her teeth were before the problems began! (Yes they were really white and perfect before).
We removed the teeth and fitted the implants on the same appointment with a temporary set of teeth (immediate improvement) and the final permanent set was fitted 12 weeks later after the gums had finished settling.







