

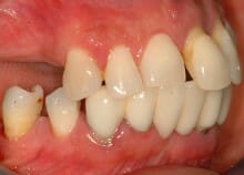
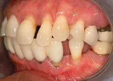
This lady was referred in by her dentist because she was having terrible trouble getting on with her new upper
denture. She found that it was making her gag and had stopped wearing it.
Naturally she had become practically a recluse, refusing to go out.
Her husband was very worried.
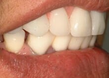
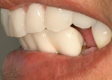
We reassured them both that there was a solution and went onto provide her with a whole set of new fixed teeth in
the upper jaw (supported on 6 implants). The treatment took a little over 12 weeks.









