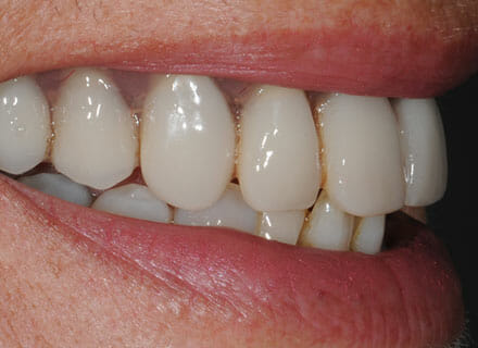
This lady came to us with multiple failing teeth in the upper jaw. When she first came she thought all the lowers had failed too but we were able to save the lowers by carrying out a full course of gum (periodontal) disease treatment with our hygiene team. After the analysis appointment and 3D digital planning using our CT scanner and models our technician fabricated the new upper teeth in advance and we were able to remove the teeth and fit 4 implants and the new bridge all in a few hours on the same day.
We complete around half our full arch/jaw cases this way.








