Simpli 5 is a basic clear aligner system that is great for straightening slightly crooked or spaced teeth. There are 5 clear gum shields that are almost invisible when worn; by changing these every month, the teeth are gradually moved in to a straight line. Treatment typically takes around 6 months.
It is great if:
- You have slightly crooked front teeth
- You want as fast and cost effective solution
- You have had a brace before but the teeth have moved
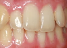
The young man was unhappy with the mild crowding in his front teeth, but he didn’t want a fixed brace stuck on to the teeth. Simpli 5 was an ideal solution because it was quick and discreet, and he could take it out for an evening if he was going out!
Simpli 5 treatment for just the upper teeth costs £1100 to practice plan members









