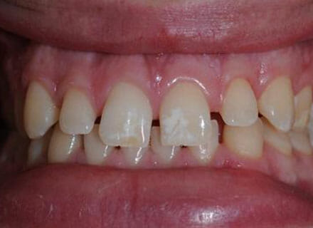
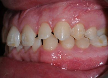
This patient was unhappy with the appearance of gaps between all his teeth when he smiled. We were able to close those gaps up within about 12 months using clear brackets.



This patient was unhappy with the appearance of gaps between all his teeth when he smiled. We were able to close those gaps up within about 12 months using clear brackets.



Brentwood, Cranham, Gidea Park, Harold Hill, Harold Park, Harold Wood, Havering, Hornchurch, Shenfield, Upminster, Basildon, Billericay, Grays, London, Essex, Herts and Kent.
We’re located in Romford, not too far from Brentwood, just off junction 28 of the M25, in Essex

We have plenty of patient car parking available, easily accessible just 3 minutes from the M25 J29, on the A12.
| Monday & Tuesday | 9:00am – 7.00pm |
| Wednesday | 8:00am – 6:00pm |
| Thursday | 8:00am – 5:00pm |
| Friday | 8:00am – 4:00pm |
| Saturday | 8:30am – 12:30pm |
Closed Sundays & Bank Holidays
Copyright © 2022 – The Art of Dentistry Limited as part of Dentex Health registered in England and Wales with Company Number 07180457. All Rights Reserved.
Finance Options | Privacy Document
APPOINTED REPRESENTATIVES: “The Art of Dentistry are an Appointed Representative of Chrysalis Finance Limited, which is authorised and regulated by the Financial Conduct Authority to carry out the regulated activity of credit broking.”