

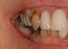
When this lady came to us, she had been thinking for a long time that she was beyond the point where she could regain her smile. A lot of people think this, but it’s never as bad as you believe it’s going to be.
The upper denture didn’t fit very well, it was uncomfortable and difficult to eat, so that needed replacing.
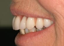
After a CT scan and assessment, we suggested that implant based fixed upper denture would work very well, and we did prepare Acrylic replacement teeth on a metal frame that is now fixed to the dental implants. During the treatment, we fixed two sets of temporary teeth, whilst the denture replacement was being prepared. These alone give an almost an instant improvement for the patient, showing how things are going to look.
We hope you’ll agree, we were rewarded with a great smile.







