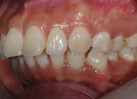
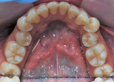
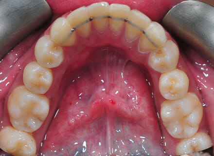
This lady came to us because she said she was goofy – her front teeth were sticking out. In the lower jaw, the teeth didn’t have enough room so 2 teeth had been pushed out of the bite altogether. We fitted a clear brace and were able to reduce the overbite by 80%. We also managed to pull the lower premolars back into the arch. This lady did not require any extractions. She was so pleased with the results especially as no healthy teeth were removed!











