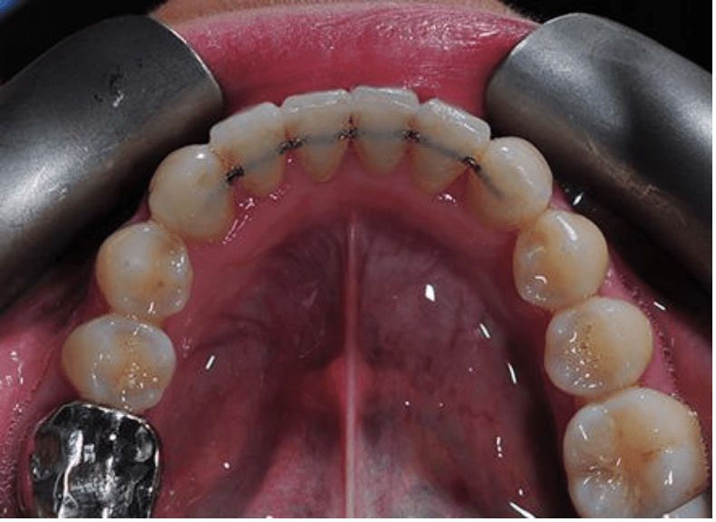
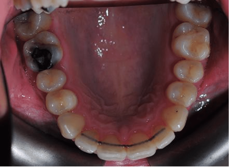
This case took under 12 months to straighten the very crooked teeth in the lower jaw and align the uppers as well. The finished photos show a fixed permanent wire on the inside of the teeth to stop them relapsing or moving back. Permanent wire retainers and night-time removable retainers are always recommended.









