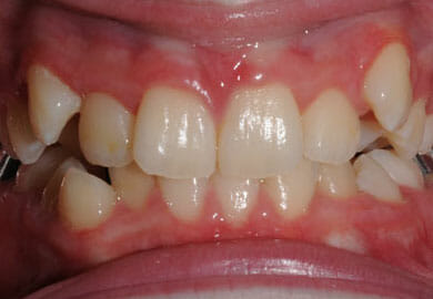
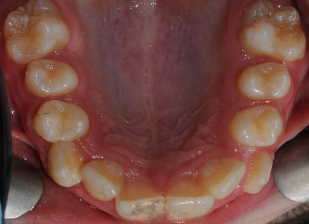
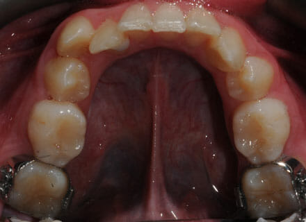
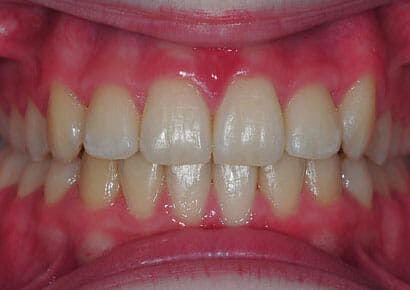
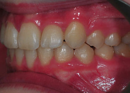
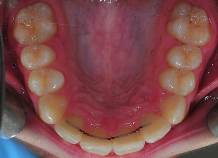
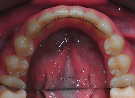
This lady hated her very uneven smile, all the teeth sticking out at the sides, teeth bunched together and uneven. We fitted clear brackets and a wire on the inside in the upper jaw in the roof of the mouth and in under 18 months the teeth were perfectly aligned and the patient’s smile was changed forever.













