
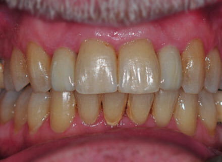
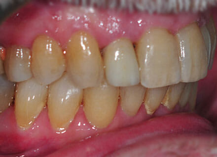
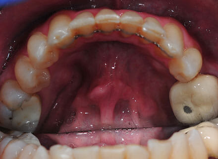
This gentleman was in his 50s and didn’t like his buck teeth, increased overbite, and jumbled lower teeth. We fitted clear brackets and realigned all the teeth over approximately 12 months. We completed the case by replacing a failing tooth with a dental implant and replaced some of the aging crowns (caps) with shiny new ones that blended perfectly with the adjacent teeth.


. 




