People Smiling with Nice Smiles in Romford, Essex | The Art of Dentistry Dental Clinic

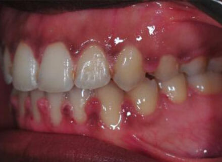
Open bite, protruding upper teeth

Dental Services: Orthodontics

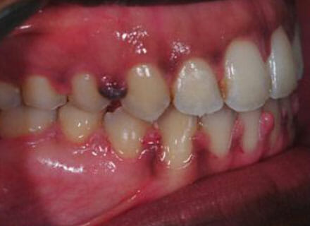
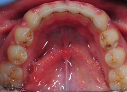
How a big open bite can be closed down while at the same time straightening all the teeth and closing gaps! Using clear fixed braces over around 18 months. Please note that the swollen gums in the after photos are what happens if a patient is not cleaning carefully enough or seeing the hygienist during treatment – after careful cleaning and hygiene treatment these gums returned to normal!

      

   

   

Copyright © 2022 – The Art of Dentistry Limited as part of Dentex Health registered in England and Wales with Company Number 07180457. All Rights Reserved.

Finance Options | Privacy Document

APPOINTED REPRESENTATIVES: “The Art of Dentistry are an Appointed Representative of Chrysalis Finance Limited, which is authorised and regulated by the Financial Conduct Authority to carry out the regulated activity of credit broking.”