People Smiling with Nice Smiles in Romford, Essex | The Art of Dentistry Dental Clinic

Many of us want a more natural look

This is especially true for some of our older patients who simply want to be able to look in the mirror without flinching. In these case patients are not in a desperate state, they have just suffered a gradual decline in dental health and appearance of some decades: a missing tooth here, an unsightly old crown there, staining, white fillings that have gone brown, black fillings that show when you laugh.

The feeling of unease builds. When patients start smiling with their lips together and covering their mouth with a hand when they laugh the situation had become serious. Sorting out these problems is what we specialise in at The Art of Dentistry.

   

First we simply listen to what you have to say. How you got where you are, what you are afraid of, what you want us to deliver, and what the deadline is (in some cases)! Then we use digital scans and photos to design the new smile.

Finally we deliver the treatment in an efficient and timely fashion to give you back your smile and confidence.

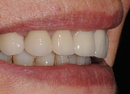
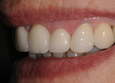
This case was a mixture of new back teeth using dental implants with ceramic/porcelain crowns and restoration of the front teeth using ceramic crowns over the natural teeth. This patient wanted to look natural not ‘in your face white’.

   
   

Copyright © 2022 – The Art of Dentistry Limited as part of Dentex Health registered in England and Wales with Company Number 07180457. All Rights Reserved.

Finance Options | Privacy Document

APPOINTED REPRESENTATIVES: “The Art of Dentistry are an Appointed Representative of Chrysalis Finance Limited, which is authorised and regulated by the Financial Conduct Authority to carry out the regulated activity of credit broking.”