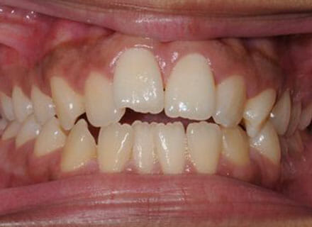
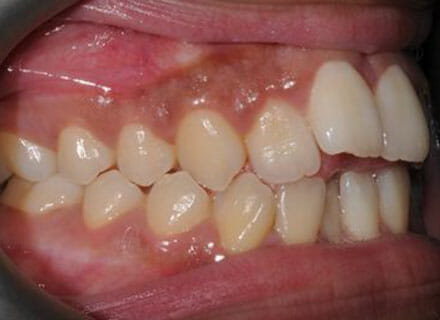
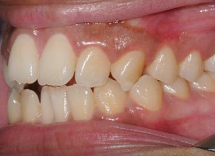
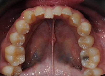
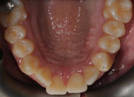
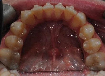
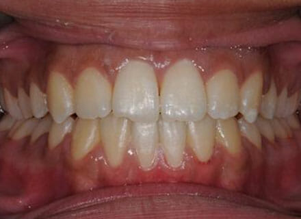
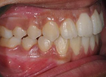
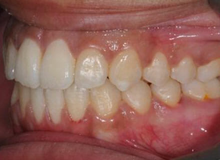
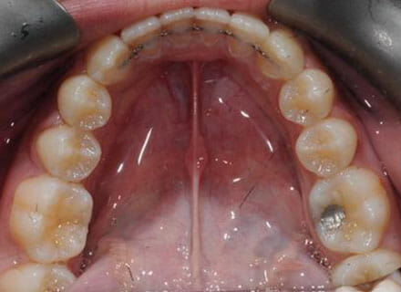
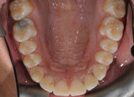
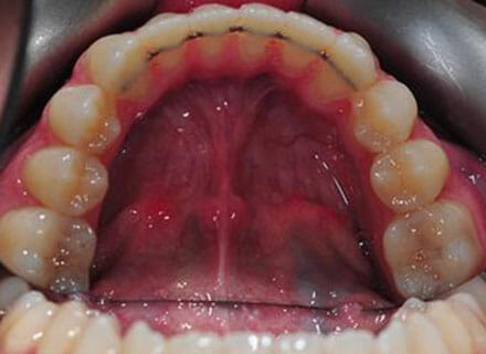
This patient came to us because she hated her smile: it was too narrow, the upper front teeth were all crowded into each other and twisted. She couldn’t eat a sandwich properly with the front teeth because of the gap – the open bite. We were able to expand both jaws to make space to align all the teeth without having to extract – in about 18 months using clear brackets.

















