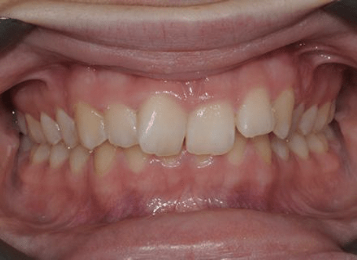
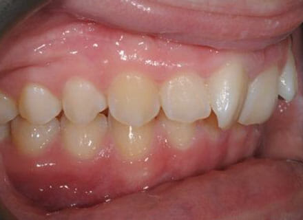
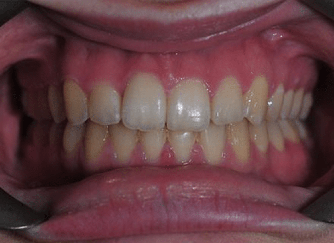
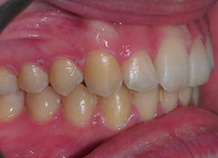
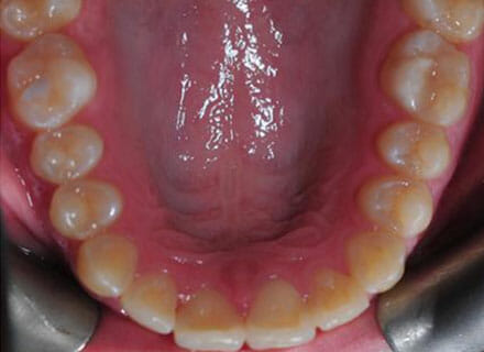
In this case, the upper incisors had a pushed back appearance and they were twisted. the smile was narrow – when the patient smiled the sides of the smile were in shadow. we used clear brackets to gently untwist and straighten the front teeth while widening the upper arch/jaw to broaden the smile. this patient was beaming for the first time in just 12 months.











