
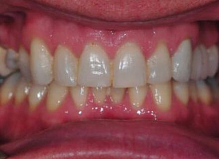
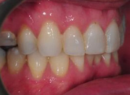
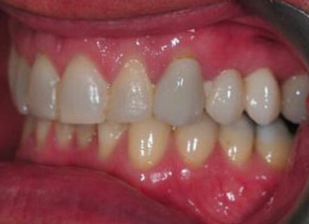
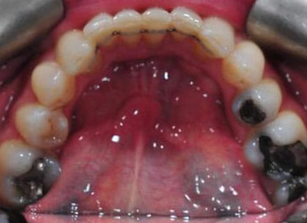
This patient did not like the edge to edge position of the front teeth, the crookedness and crowding, and the yellow colour. We completed invisalign clear aligner treatment in under 12 months, whitened the teeth and changed the shapes using cosmetic bonding treatment (cosmetic filling material bonded to reshape the teeth). Lovely result.









