People Smiling with Nice Smiles in Romford, Essex | The Art of Dentistry Dental Clinic

In the beginning we simply listen

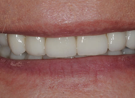
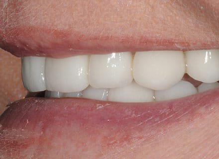
Poor appearance of the front teeth coupled with missing back teeth was getting this lady down. She couldn’t smile for fear of showing people her gaps and broken/chipped teeth, and she couldn’t eat because all the back teeth were missing in the upper jaw. She couldn’t remember the last time she had eaten at a restaurant.

The first thing we did was reassure her that her problems could be sorted out (many patients think that all hope is lost or have been told so by a previous dentist). In the beginning we just listen. Many patients are just as frightened of not being heard as they are of the dental treatment itself. Once you can start talking it helps relieve the frustration and feelings of hopelessness.

   

To manage the fear of pain and dental procedures we use the latest Computer Anaesthetic techniques (The Wand) and Sedation (IV or ‘happy’ pills) so that you can have your treatment without staying up all night worrying about it the night before.

In these cases we usually fit a set of temporary crowns on the front teeth straight away. High quality temporary teeth look real and allow us to immediately improve appearance an confidence while we get the back teeth sorted out. In this case it took a few months as we had to add some bone at the back where it was low in volume.

This patient now has a half her own teeth and half in implant teeth and – more importantly the full confidence to smile broadly and eat anything she likes.

   
   

Copyright © 2022 – The Art of Dentistry Limited as part of Dentex Health registered in England and Wales with Company Number 07180457. All Rights Reserved.

Finance Options | Privacy Document

APPOINTED REPRESENTATIVES: “The Art of Dentistry are an Appointed Representative of Chrysalis Finance Limited, which is authorised and regulated by the Financial Conduct Authority to carry out the regulated activity of credit broking.”