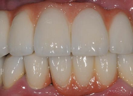
This patient had lost all confidence in his appearance. This was affecting his work and relationships. He tried to avoid smiling or smiled with his lips together. When he laughed which was seldom, he raised a hand over his mouth. He thought all his teeth had failed.
In fact we were able to save most of his teeth except a few at the front. We fitted Ceramic (porcelain) hand finished teeth over the implants where the teeth were removed and used Cosmetic crowns made from the same material to cover his own teeth so that they all matched up. We were even able to make all the teeth straight using the crowns. (No braces needed!).






