

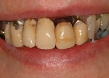
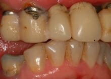
This lady came to us because her old bridge was finally failing completely and had become quite an eyesore. The few remaining upper teeth were decidedly wobbly.
This usually outgoing lady had become quite insecure about her appearance (hiding her smile behind her hand, laughing with her lips pursed and so on) to the point where she had somewhat lost the confidence to go out and about.









