People Smiling with Nice Smiles in Romford, Essex | The Art of Dentistry Dental Clinic

Implant Bridges

Implant BridgesImplant Bridges

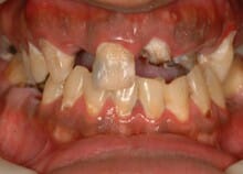
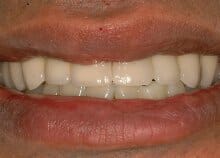
This chap came to us as one of the most dental – nervous people I’ve met.

He was also hugely embarrassed by his smile and had been smiling with his lips pursed together for 10 years!

He said afterwards that the hardest part of the whole treatment was not the multiple extractions and implant surgery, it was his very 1st appointment: building up the courage to come and see us and actually open the mouth for someone else to see it is often the hardest part.

We are always so impressed by the courage of our patients in making that first step.

Implant BridgesImplant Bridges

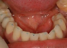
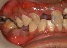
For this chap we had to remove all the upper teeth but 4 and 4 of the lower back teeth.

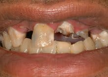
We whitened and used out Italian advanced cosmetic filling system to rebuild the lower front teeth

Then we completely adjusted and refined the bite using a full set of temporary teeth upper and lower

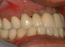
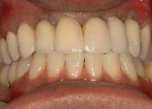
After removing all the rotten teeth we replaced them with implants and porcelain implant bridges

Implant BridgesImplant Bridges

Implant Bridges

Copyright © 2022 – The Art of Dentistry Limited as part of Dentex Health registered in England and Wales with Company Number 07180457. All Rights Reserved.

Finance Options | Privacy Document

APPOINTED REPRESENTATIVES: “The Art of Dentistry are an Appointed Representative of Chrysalis Finance Limited, which is authorised and regulated by the Financial Conduct Authority to carry out the regulated activity of credit broking.”