

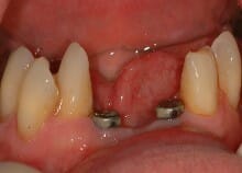
Implant bridges are a great way of replacing a few missing teeth. What some people don’t realise is that we only
need to use 2 implants to replace 4 teeth in the front of the lower jaw.


Implant bridges are a great way of replacing a few missing teeth. What some people don’t realise is that we only
need to use 2 implants to replace 4 teeth in the front of the lower jaw.
In this case the gentleman had some very wobbly teeth which he hated to look at at the front of the lower jaw. He
said they were so loose that he had taken to eating only very soft foods.
His fear was that he would have to have a denture – and he hated that idea! His own dentist had offered him one.
We first treated the gum disease to ensure that none of the other teeth in the mouth would suffer the same fate.
Then we removed the 4 wobbly ones and put 2 implants and a temporary bridge in: all on the same day!
The final porcelain bridge was finished within 12 weeks and our gentleman can now eat anything he wants and has
no worries about his teeth falling out during social functions!
Small implant bridges are a brilliant way of replacing missing or failing teeth and can be made to look better than
the originals!
Guide price for small implant bridg to replace 4 teeth (with our membership discount) £5400
Brentwood, Cranham, Gidea Park, Harold Hill, Harold Park, Harold Wood, Havering, Hornchurch, Shenfield, Upminster, Basildon, Billericay, Grays, London, Essex, Herts and Kent.
We’re located in Romford, not too far from Brentwood, just off junction 28 of the M25, in Essex

We have plenty of patient car parking available, easily accessible just 3 minutes from the M25 J29, on the A12.
| Monday & Tuesday | 9:00am – 7.00pm |
| Wednesday | 8:00am – 6:00pm |
| Thursday | 8:00am – 5:00pm |
| Friday | 8:00am – 4:00pm |
| Saturday | 8:30am – 12:30pm |
Closed Sundays & Bank Holidays
Copyright © 2022 – The Art of Dentistry Limited as part of Dentex Health registered in England and Wales with Company Number 07180457. All Rights Reserved.
Finance Options | Privacy Document
APPOINTED REPRESENTATIVES: “The Art of Dentistry are an Appointed Representative of Chrysalis Finance Limited, which is authorised and regulated by the Financial Conduct Authority to carry out the regulated activity of credit broking.”