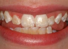
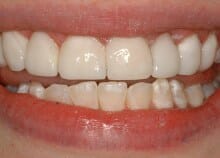
This lady hated her smile, too gummy with mottled teeth. What we did:
- She went to the hygienist first to get the teeth and gums healthy
- We did gum reshaping to adjust the tooth length and reduce the gummy look
- We did whitening to decrease the yellow areas on the teeth
- We finished off with 8 immediate veneers at the end of treatment
The whole job took 8 weeks from start to finish and the final veneers were done in a shade over 3 hours
Cost
This lady joined our plan so that she could get our maximum discounts on the treatment and to ensure
that long term we can look after her new smile









