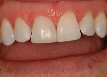
A beautiful enhancement to a front tooth with an immediate veneer, using new dental materials to build up the existing tooth, a nondestructive method, it entirely preserves the original tooth with no damage.
It really is a way of enhancing what nature gives us
Treatments: Immediate Veneers









