This lady was in her 50s and came to us in a desperate state. She was unable to eat because she could not chew her food. She had a very big smile and showed all her teeth but was unable to smile because she was so embarrassed by the old front teeth and the gaps showing.
She was keen on keeping fit but because she couldn’t eat properly she was losing weight. She was also very nervous.
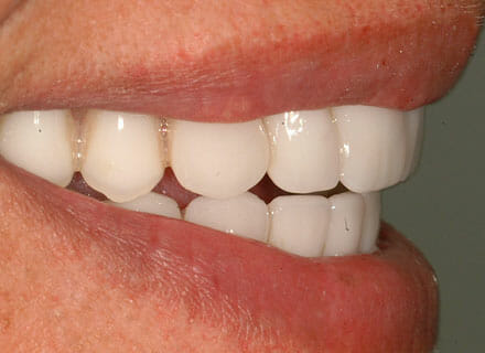
We were able to replace all her teeth with dental implant supported teeth in both jaws (arches). We carried out the treatment using painless Local anaesthesia (The Wand – painless injection system) and IV sedation so that when she woke up after surgery she had no idea it had even been done.








