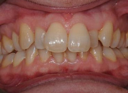
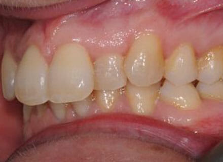
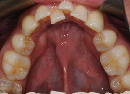
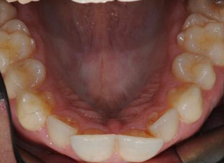
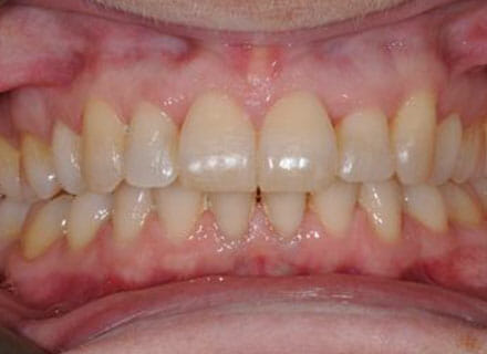
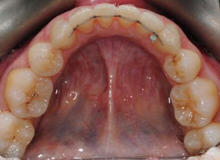
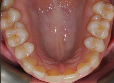
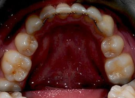
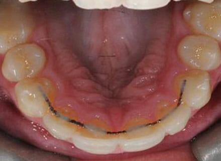
In this case, we needed to reduce the size of the central incisors as they were just too big. This combined with the crowding at the front had caused the lateral incisors to become trapped inside, pushing the big central incisor teeth forwards even more. After reducing the big teeth to a normal size we started with fixed clear bracket brace treatment and were able to complete this case in a little over a year.

















