People Smiling with Nice Smiles in Romford, Essex | The Art of Dentistry Dental Clinic

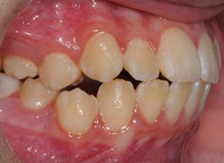
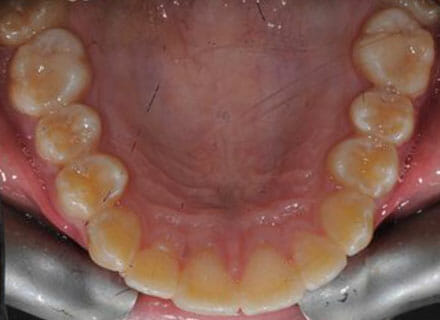
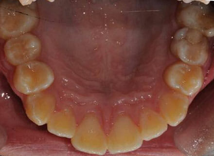
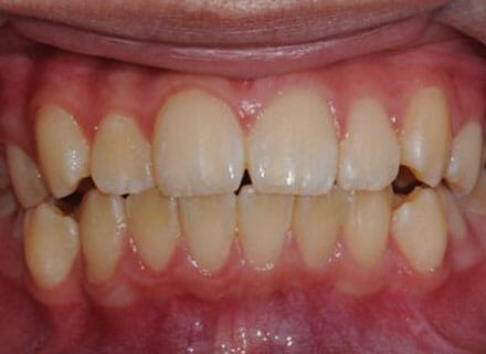
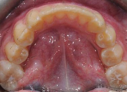
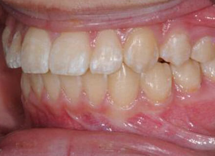
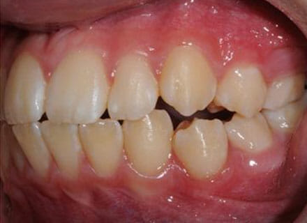
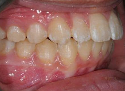
Fixing protruding teeth upper and lower and crowding – no extractions

Dental Services: Orthodontics

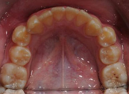
this patient didn’t like the teeth because they pushed forwards and were sticking out and pushing out her lips. She thought that she looked like she had too many teeth and not enough space. In 12 months we pulled all the teeth back, pulled them together, and lined them all up. No teeth were extracted because we made room by expanding the jaws.

                                                                                       

   

   

   

   

   

Copyright © 2022 – The Art of Dentistry Limited as part of Dentex Health registered in England and Wales with Company Number 07180457. All Rights Reserved.

Finance Options | Privacy Document

APPOINTED REPRESENTATIVES: “The Art of Dentistry are an Appointed Representative of Chrysalis Finance Limited, which is authorised and regulated by the Financial Conduct Authority to carry out the regulated activity of credit broking.”