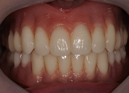
This lady had all three. Within 2 months we had fixed a whole new set of teeth in place using Implant retained dentures upper and lower.
Implant dentures are the most cost effective way of replacing a full jaw or arch of teeth or a whole set.
And they can be made to look fantastic.
Her confidence was restored.
Her chewing function was restored.
Her health was restored.







