Often, the best time to treat kids is just before their big growth spurt (9 for girls, 11 for boys). By harnessing the growth spurt in the right way we can drastically improve the smile. This means that treatment in the future is much easier, takes less time, avoids extracting healthy teeth and is finished earlier.
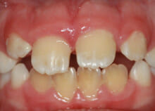
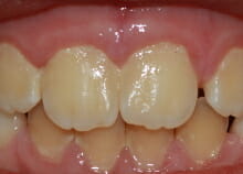
This young man is a long term patient of ours. At The Art of Dentistry we routinely monitor the dental growth of all our young patients, and by acting early make sure that we create the winning smile as early as possible! His front teeth were sticking out, and the top jaw was too narrow. He wore a removable brace for 9 months; the results were fantastic!
He may well need another course of treatment when all his adult teeth are through; it’s too early to know for sure. BUT, this course of treatment will take 6-9 months to straighten the teeth.
If we left it until he was 14 before doing any treatment, as is so often the case in NHS orthodontics, the treatment would almost certainly take twice as long, and may even involve extracting healthy teeth to move the front teeth backwards. What a waste, when all that’s needed is to help nature in the right direction.
If you’d like to explore what can be done, why not book a free consultation









