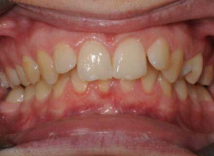
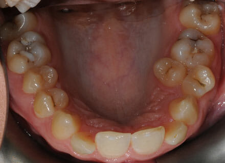
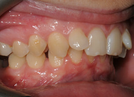
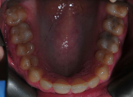
This lady came to us because she was unhappy with her crooked, uneven teeth.
The front ones were sticking out and she didn’t like her overbite. we were to move all the teeth sticking out back to where they should be, at the same time we made all the teeth nice and straight.
Treatment duration: about 12 months.
Brace Type: clear brackets











