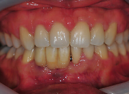
This patient came to us with 2 big issues: he had a number of failing teeth in the lower jaw at the front. Due to gum (periodontal) disease these teeth had come loose and started to grow apart splaying out in all directions. In the upper jaw the teeth had also started moving so that big gaps had appeared between them. We treated the gum disease to save most of the teeth and placed 2 implants in the lower jaw, placing 4 new teeth on top of them immediately (immediate dental implant treatment).
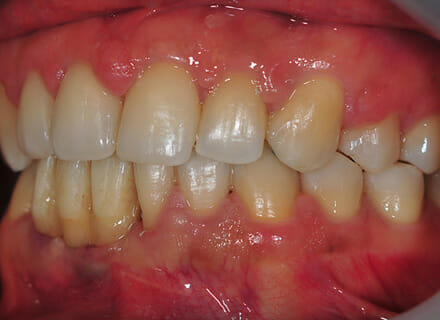
He then went to see Charlene who does our braces (orthodontics) and she placed some tooth coloured brackets. The braces pulled all the teeth together and levelled them off. Finally we fitted new ceramic implant bridge teeth to replace the lower temporary teeth we fitted initially.








