
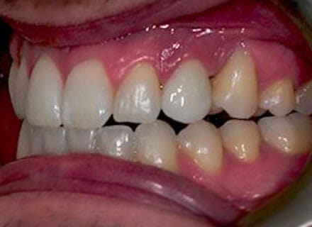
Young man was in his early 30s and still had a baby tooth which was small, damaged and loose on the upper left. He was unhappy with his lopsided smile and tried not to smile too broadly as the old baby tooth really showed. We treated this case in just over 12 months using clear braces and finishing with a dental implant replacement of the old baby tooth. We usually put the implant in 3 months before the end of orthodontic treatment so the new implant tooth can be made ready to be fitted within a couple of weeks of completing the orthodontic treatment.

. 
. 





