
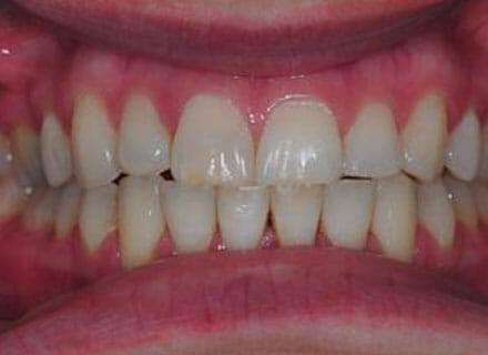
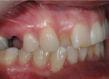
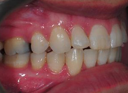
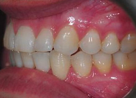
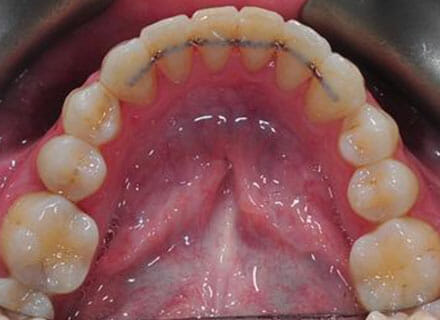
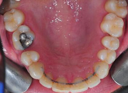
In this case the whole smile was affected by a tooth that was missing (a visible gap or hole at the side when smiling) and a tooth at the front that had grown the wrong side of the bite. We were able to correct the gap at the back by pulling the tooth behind forwards into the gap left by the previous extracted tooth. The clear brace also pushed the tooth at the front back in to the right position and the smile was massively improve. This case took around 18 months to complete.











