People Smiling with Nice Smiles in Romford, Essex | The Art of Dentistry Dental Clinic

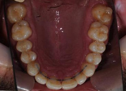
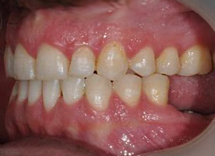
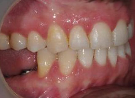
Big gaps and missing back teeth

Dental Services: Dental ImplantsOrthodontics

 

This is a case where orthodontics and dental implants were used. First we closed the big gaps at the front using a fixed clear brace (this took under 12 months. Then we added 2 new teeth on the lower right where the premolar and molar were decayed right through using dental implants. Here the after pics were taken before the new implant teeth were added lower right.

 

                                                                                     

 

 

 

   

Copyright © 2022 – The Art of Dentistry Limited as part of Dentex Health registered in England and Wales with Company Number 07180457. All Rights Reserved.

Finance Options | Privacy Document

APPOINTED REPRESENTATIVES: “The Art of Dentistry are an Appointed Representative of Chrysalis Finance Limited, which is authorised and regulated by the Financial Conduct Authority to carry out the regulated activity of credit broking.”