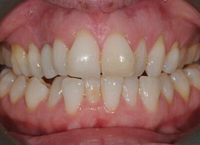
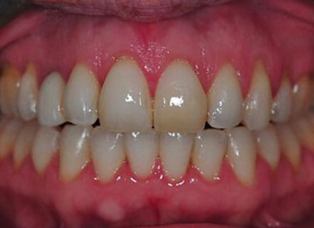
This patient did not like her narrow upper jaw and smile, the crowded teeth, the over-sized upper front incisor teeth. We used clear braces on the outside and a wire in the roof of the mouth at the same time to widen the upper jaw. The front teeth were made smaller (slenderised) to improve the appearance, and the crossbite caused by the upper jaw being too small for the lower jaw was corrected. All in around 18 months.









