Cosmetic Open Evening T’s & C’s
All Cosmetic Open Evening treatments are subject to suitability and availability. Over 18’s only. Offer is only valid on the Thursday 10th November. All Cosmetic Open Evening treatment discounts only applies where the first appointment in relation to this offer is booked before 23:59 on 10th December 2022.
These offers are open for all individuals who are patients at The Art of Dentistry. The discount will be applied when the final payment is made following the completion of the full treatment plan. The offers will therefore not apply to appointments booked for an initial consultation only. Appointments are subject to availability and are with either Dr Andrew Fennell or Dr Jonathan Woods for Implants and Dr Jamie Nelson for cosmetic work only. Free initial consult for implants and veneers bookings. Free Whitening for the opposite arch for 6 or more composite veneers. Two free hygienist appointments for three or more implants only.
In the event that the treatment is paid for upfront in full the discount will be applied at the point of payment. For all treatments which are not paid for upfront in full the discount will be applied when the final payment is made. Payments are subject to standard practice policy which is available upon request. All cosmetic open evening treatment plan discounts are non-exchangeable, non-transferable, and are not redeemable for cash or other treatments. All sales are final. In the event that Dr Andrew Fennell, Dr Jonathan Woods or Dr Jamie Nelson is unavailable for any appointment scheduled in relation to this offer, The Art of Dentistry will use best efforts to rearrange the appointment.
All cosmetic open evening discounts cannot be used in conjunction with any other offer. The Art of Dentistry accepts no responsibility for any damage, loss, liabilities, injury or disappointment incurred or suffered as a result of the use of this offer or receipt of the treatment. The Art of Dentistry does not guarantee that the treatments will not cause damage of any kind (whether direct or indirect) to the patient’s teeth or face, and therefore a The Art of Dentistry accepts no responsibility in the event that the treatment causes any damage. Nothing in these terms and conditions excludes or limits liability for personal injury resulting from The Art of Dentistry negligence or for fraudulent misrepresentation, or for any other liability which cannot be limited by law. The Art of Dentistry can vary or replace these conditions from time to time, at its sole discretion. If any provision or part-provision of these terms and conditions is or becomes invalid, illegal or unenforceable, it shall be deemed deleted, but that shall not affect the validity and enforceability of the rest of the terms and conditions.
Update: We are open – Latest News
Dear Patients,
We are open, with new operating procedures to keep us all safe.
For those patients who are booking in to see us now please look out for our pre-appointment email which explains how we have had to change the way we work to safeguard you and the team from any risk of viral spread – here it is:
Dear Patient,
Ahead of your upcoming appointment we have made a number of necessary changes to how we practice to ensure your safety and our safety during the pandemic. Although the UK has passed the infection rate peak the Government has advised all of us to remain on high alert and maintain social distancing.
At The Art of Dentistry we will be using a 6 part protocol to minimise the risk of viral transmission
Pre-appointment screening
Please cancel your appointment if you have experienced any of the following symptoms over the last 14 days:
- Cough
- Sore throat
- Runny nose/sneezing
- Shortness of breath
- Loss of smell
- Fever
Please cancel your appointment if anyone in your household has displayed any of these symptoms in the past 14 days
Please cancel your appointment if you have been asked to self isolate due to COVID 19 over the past 14 days, if you are being tested for COVID 19, or if you have been in contact with anyone suspected of having COVID 19 in the past 14 days.
We will phone you 24 hrs before your visit to check the above.
Maintaining social distancing during your visit
Please drive to the clinic if you can and phone us when you arrive in the car park so that we know you are there. Stay in your car and keep your phone handy so that we can call you in when we are ready for you. Please do not bring any family members with you when you are called in.
If you don’t drive please let us know before your appointment and an alternative arrangement will be made.
Please maintain a distance of 2 metres/6 feet between you and any other patients you encounter during your visit.
Entering the building
Please wear a face mask if you have one. If not we will provide you with one at the door.
We will check your temperature using a non-contact forehead thermometer.
There will be a table on your left with hand sanitiser on it. Please sanitise your hands.
You will need to continue wearing your mask until you enter the treatment room.
Entering the treatment room
Once you are sat in the dental chair we will give you a mouth rinse to use for 1 minute prior to starting your treatment.
Leaving the treatment room
Before leaving the treatment room we will ask you to sanitise your hands again, gel will be provided.
Payment
At this time we will only be taking card payments, no cash transactions. If you require a receipt we can text or email it to you. You will notice that all of us are wearing face-masks and face shields for the duration of your visit. I know this will make some people uncomfortable but I trust that you understand why we must continue to take such precautions at this time.
Thank you for your understanding and for taking the time to read this.
Dr Andrew Fennell
Thank you for your support in keeping everyone safe.
With best wishes,
The The Art of Dentistry Team
tal Care)
Hygiene—What Happens?
What happens to your teeth after 3 months 6 months and 10 months without a dental hygienist cleaning?
Well this is really a very difficult question to answer because each person responds in a different way to bacteria. In dentistry, this is called “host response”.
Happy New Hygienist Regulations
As of last month the General Dental Council – our governing body – has ruled that patients who want to visit a hygienist can do so without the need to have an examination with a dentist.
What this means
In practice these new hygienist regulations mean that if you feel the need to have your teeth cleaned you can go to a hygienist without the need for your dentist to officially ‘refer’ you.
Furthermore if your dentist doesn’t have a hygienist and you feel that you would benefit from seeing one you can turn up and see any hygienist at any dental clinic where they have decided to operate on this basis.
So what?
Well up until now hygienists were not allowed to see patients who had not been directly referred to them by a dentist – if they did this would have been an ‘illegal’ practise and they could lose their job!
At The Art of Dentistry we think this is a fantastic leap of common sense in the world of dentistry. Any legislation which helps to remove barriers between patients who want and need our help is legislation to be celebrated!
So to anyone out there who wants to check in with our lovely hygienist, please pick up the phone and call us for an appointment.
We can usually fit you in within a week!
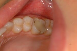
What’s in a dental checkup?
I was reminded this week of the what a brilliant tool the humble dental checkup is…(assuming it is carried out with some thoroughness and enthusiasm)..
Often I think patients wonder why we do it?
And listening to the dentist counting teeth with the nurse repeating the numbers and tapping away on a keyboard, it must feel like a bit of waste of time for some….and it would be if all we did was look.
(Guess what – if all we do is look, it only takes 3 minutes….and in my opinion we may as well just take a photograph and send the patient home).
Looking for change
But the value of a decent dental check up is often about looking back and – probably more importantly – looking forwards. A good dentist will look in the mouth and compare the current situation to the last check up – looking for change. Change can be good (eg less plaque, better brushing, flossing etc) or change can be bad (fillings wearing out, crowns cracking etc). Often though the real value is in crystal gazing.
We all wish we could predict the future – well in dentistry it’s actually not that hard. Careful examination and an up to date dental examination history will give strong clues as to how long our teeth and our dentistry will last.
The positives for the patient are that
- they can focus their resources on dealing with issues that need immediate attention (ensuring they stay out of pain and continue to be able to eat a normal diet and smile at people)
- they can plan ahead for problems ‘on the horizon’ ie 6, 12, 24 months and even 5 or 10 years ahead.
A good dentist can give you realistic predictions about the longevity of your teeth and dentistry for years ahead.
Long range forecasting ultimately brings peace of mind.
So what?
Well I think in the end it’s all about being mentally prepared. When issues have been predicted well in advance and then happen, people feel ok with it. It’s not a shock, some patients may even have been quietly building their rainy day fund in expectation…
Knowing is better, and less expensive, than not knowing. And that’s why we developed our dental plan
So even the worst problems have been dealt with in advance and managed correctly it is that preparedness which brings peace of mind.
What to do about a missing incisor tooth
As time goes by we have noticed an increasing number of young adults turning up at The Art of Dentistry with..
- crooked and crowded teeth (especially at the front)
- narrow upper or lower jaws
- one or more missing adult teeth (usually front incisors or canines)
- very unhappy with their smile
The cause
With all the problems we have seen above, the cause is an adult tooth (or teeth) that never grew down in to place during childhood.
The other teeth crowded around the space that was left, and whilst often there has been an attempt at correcting the problem with orthodontics, for whatever reason it didn’t work very well….
One other common factor is that again, some patients tell us that their dentist has told them nothing can be done – or if it could it would involve horrible and expensive surgery….
Does this sound like you? What to do about a missing incisor tooth?
Here’s the good news
At The Art of Dentistry we have been successfully treating these cases since the mid 90’s!
Though it is true to say that these cases are challenging – and involve both orthodontics (braces) and one short session with our surgical dentist – the results are very predictable and our patients invariably end up with exactly what they want
- nice straight teeth
- wider smile
- all their own teeth (no implants needed here – your own tooth pulled into the correct position is much better)
- very happy with their smile!
How does it work?
As always it starts with a free consultation to see if you are suitable for this sort of treatment – (most people with ‘trapped’ canines or incisors are)
We then need to utilise our 3D CT specialist dental CT scanner – this is the diagnostic tool we need to accurately visualise the position of the trapped tooth in the bone.
Once we know exactly where it is (to the nearest half millimetre) the surgery to uncover the tip of the tooth becomes easy and keyhole – the CT scan image shows where to go. Normally we can uncover the tip of the tooth within 40 minutes using the Dental Laser! We then bond a little hook onto the tip of the trapped tooth.
The best thing about using lasers instead of scalpels is the wounds heal up much faster and there is much less bleeding during the procedure – truly ‘minimally invasive’
At this stage the (very minor) surgery is all done.
The patient goes to see our friendly orthodontic team along the corridor and they will fit one of our discreet adult braces which attach to the little hook to pull the wayward tooth back down into its proper position.
The process normally takes from 12-18 months.
And the bonus? The same discreet brace is used to widen the smile, and get all those crooked/twisty teeth back into a nice straight line at the same time as pulling down that tooth no one ever thought could be reached!
We love these treatments because they showcase the best of what we can achieve at The Art of Dentistry with our friendly enthusiastic multi-disciplinary team backed up with state of the art technology!
We love our job.
Dentistry is about connecting with people
A wise old dentist once told me ‘dentistry is 85% communication and 15% manual dexterity’ (I’d like to think some of that 15% includes a level of artistry as well!)
What my dad meant was that without a high level of communication – in his opinion – good dentistry can’t happen.
What do we mean
- make the patient feel at home – on the first visit!
- explain all the options and their pros and cons
- talk about fear and pain upfront and how to minimise both
- be honest about the fees
- take time to explain all the issues that can and do occur for a given treatment
- discuss honestly how long the treatment will last and the necessary maintenance
The more we know about a new situation, the less frightened we are by our ‘imagining’ about what may occur. If the patient feels able to approach the dentist and the team at any time with any concern, or question, no matter what it is, then it often happens that 90% of the previous nervousness, phobia or plain fear disappears.
Communicating gets the right results
With the right level of understanding, there need be no second thoughts or surprises, and we are given the proper permission to carry through with our high level dentistry. Building a level of confidence that the results will always match the expectations agreed between dentist and patient, means that patients feel right about things the whole way through
- they know the dentistry looks good and will last
- they are happy and comfortable and devoid of fear
- they get to know how passionate we are about our work!
In the end. It’s all about connecting with people for me too. And that’s what gets me to work every day. That’s what inspires me.
That’s why I do it.
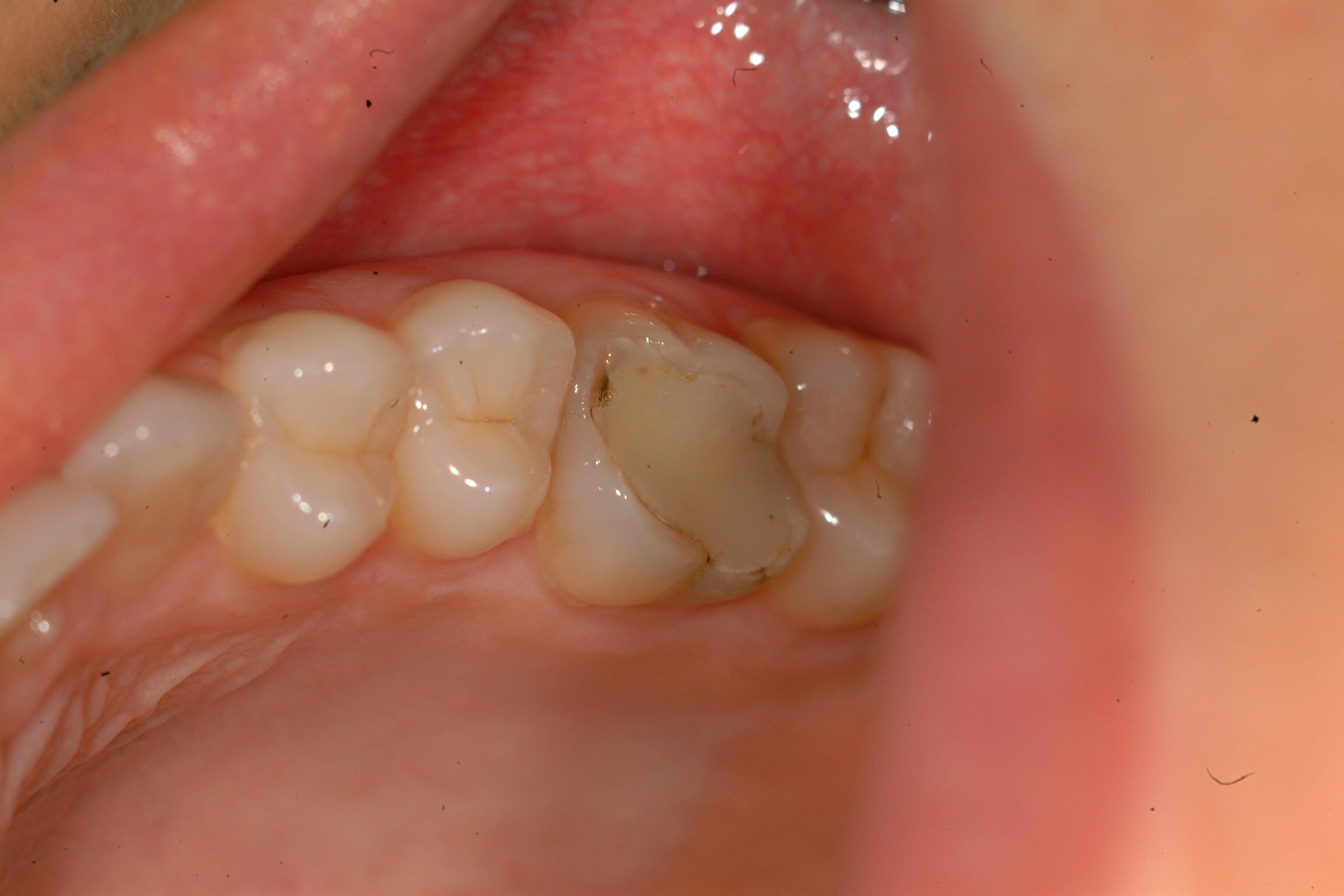
Cosmetic Fillings: Why the Italians have got it White
I am often asked why my white fillings are significantly more expensive than Dr.A.N.Other’s just around the corner. They’re white, right? What more is there to ask?
So I thought that I’d tell a little story about how I ended up spending a considerable number of long weekends hanging out with arguably the best cosmetic filling dentist in the world. He calls them ‘aesthetic composite restorations’ and his name is Dr Lorenzo Vanini (google him and you’ll see). Now Lorenzo, apart from being the best cosmetic dentist in the world is also a fine pianist and jazz-composer, a black belt in karate, and lives on the shores of Lake Como not far from George Clooney.
I went to find Lorenzo because my experience of white fillings was that:
- They didn’t last very long (less than 5 years)
- They didn’t look like tooth, they often looked like murray-mints surrounded by a dark brown leakage-line
- They often had decay underneath them (so if anything, they looked worse underneath than they did on top)
- They were weak and prone to fracture
a n other dentist white filling In short – mercury fillings were better in every way except they looked a bit black!
Lorenzo opened my eyes and proved beyond a doubt that:
- Quality white, cosmetic fillings can last 20 years!
- Quality white, cosmetic fillings are indistinguishable from natural tooth tissue
- They won’t decay underneath (providing a strict placement protocol is adhered to as prescribed by Lorenzo)
- They are strong and not prone to fracture
- They are so much better (for the tooth and patient) than mercury fillings – and they look good to!
Lorenzo opened my ears too, because being a keen musician myself, we inevitably found ourselves jamming after a long hard day’s teaching/learning (and some decent italian wine of course).
Lorenzo also taught me to use his material to produce free-hand immediate veneers which have become a very popular cosmetic treatment here at The Art of Dentistry over the years.
Anyway here is my recipe for making the best white fillings in the world (and our ‘routine’ procedure here at The Art of Dentistry)
- Purchase the best white filling material in the world (‘Enamel Plus’ from Italy, produced by Mycerium, designed by Lorenzo and his chemists)
- Ensure that the tooth is properly numb (using ‘The Wand‘ our painless injection system from the US)
- Apply ‘rubber dam’ to the tooth so that it is isolated from the saliva in the mouth (saliva + white filling = disaster, also we use the rubber dam to prevent bits of mercury filling being ingested!)
- Remove old filling/decay etc, the cavity has to be prepared precisely as prescribed by Lorenzo (margins polished, etc etc)
- Chemically clean cavity (Lorenzo technique)
- Apply bonding agent (Lorenzo technique, the bonding agent is also one of the best in the world – cheap bonding agent = leakage and brown lines around the filling)
- Apply different shades of Enamel Plus filling material, laminating/layering technique as per Lorenzo
- Finish with specific tungsten-carbide tipped drills and specific polishing brushes and pastes (as per Lorenzo’s technique)
- Voila! A white filling that can be (easily) guaranteed for 5 years, will last much much longer, and actually looks like a tooth – even after years of use!
Using the best materials and the best technique and ensuring the best environment for the alchemy to take place takes time, and those materials cost double what the cheap stuff does….but is it worth it?? Of course it is. Anybody for a cheap white filling now?
Fit & Forget Dental Implants – Part 2
So here’s the follow up to my last blog about fit and forget implants:
If you think that you might benefit from dental implants..
here’s a few questions to put to the dentist before you choose to go ahead:
Q. What guarantees do you offer on your dental implants?
Q. Will you replace an implant if it doesn’t take – free of charge?
Q. And in the long term – how will you ensure that I still have my implants in 10 years?
Q. What are the ongoing maintenance requirements for dental implants, and how much does that maintenance cost?
Q. Can I see some before and after photos of your work?
Q. Can I speak to any of your patients who have had implants placed by you? (Ask for testimonials)
Q. How long have you been placing dental implants?
Q. How many implants have you placed?
Q. How many of those implants have failed?
Q. Talk to me about peri-implantitis!
Q. I’m a smoker – am I still suitable for dental implants?
Q. I have had gum disease, this is how I lost my teeth (they got wobbly and fell out), will the same thing happen to my dental implants?
Its important to know everything before you choose, and of course, we’ll answer all these questions for you in the Free Consultation.
Fit and Forget Dental Implants?
I love talking my patients. They are my lifeline to the real world out there – (you know the one where most people don’t spend all day every day thinking about teeth!)
This lady is one of my long standing dental implant patients – a few years ago we completely rebuilt her upper teeth using custom porcelain bridges supported on titanium implants
The thing is, they look as good today as the day we fitted them all that time ago. But this is no accident. This lady follows Laura’s (one of our lovely hygienists – yes they’re out there, honest!) advice to the letter. She cleans the bridges and implants twice a day, and visits us every 6 months for her Healthy Mouth Review to allow us to monitor the health of her mouth and implants, to clean those areas even she can’t get to, and to carry out our Oral Cancer Check.
This is routine at The Art of Dentistry.
Implants need as much – possibly more – upkeep than natural teeth…they are a great copy of the real thing (better than a chinese rolex) but even I don’t claim to have beaten mother nature at her own game!
So when Gill told me yesterday that she is coming across more and more people who are benefiting from this sort of dental treatment – but some of them can’t understand why she has to keep coming back to see us for what they see as ‘unnecessary maintenance’, I had to press her for further clarification! ‘Why?,’ I said. And Gill went onto explain that these patients are popping into dental practices (yes in the UK) and having implants placed ‘as if they are just expensive fillings’!
This is a worrying trend. Problems with dental implants rarely cause pain, so for a patient who has been advised in this way the first time they realise there is a problem with their dental implants might be the day they fall out! The fact that this may take 5-10 years is what is protecting both these dentists (and their patients – ignorance is bliss) for the time-being. But it’s a ticking time-bomb. These cheap ‘quick-fit’ (and forget) implants have been placed in the last couple of years as more and more of the profession learn about them – in response to greater and greater demand from patients….alas it is only a matter of time before the chickens come home to roost. And when they do, the only winners (as usual) will be the lawyers.
Leaving the cost issue aside, once implants fail it is not nearly as easy to do them a 2nd time. The bone around them disappears – which is why they fall out – so if they fall out, by definition there is often no bone left to put another one in….and this puts us right back to the 1970s: dentures for all.
Happy Easter. Lay off the eggs 😉
Cosmetic Open Evening T’s & C’s
All Cosmetic Open Evening treatments are subject to suitability and availability. Over 18’s only. Offer is only valid on the Thursday 10th November. All Cosmetic Open Evening treatment discounts only applies where the first appointment in relation to this offer is booked before 23:59 on 10th December 2022.
These offers are open for all individuals who are patients at The Art of Dentistry. The discount will be applied when the final payment is made following the completion of the full treatment plan. The offers will therefore not apply to appointments booked for an initial consultation only. Appointments are subject to availability and are with either Dr Andrew Fennell or Dr Jonathan Woods for Implants and Dr Jamie Nelson for cosmetic work only. Free initial consult for implants and veneers bookings. Free Whitening for the opposite arch for 6 or more composite veneers. Two free hygienist appointments for three or more implants only.
In the event that the treatment is paid for upfront in full the discount will be applied at the point of payment. For all treatments which are not paid for upfront in full the discount will be applied when the final payment is made. Payments are subject to standard practice policy which is available upon request. All cosmetic open evening treatment plan discounts are non-exchangeable, non-transferable, and are not redeemable for cash or other treatments. All sales are final. In the event that Dr Andrew Fennell, Dr Jonathan Woods or Dr Jamie Nelson is unavailable for any appointment scheduled in relation to this offer, The Art of Dentistry will use best efforts to rearrange the appointment.
All cosmetic open evening discounts cannot be used in conjunction with any other offer. The Art of Dentistry accepts no responsibility for any damage, loss, liabilities, injury or disappointment incurred or suffered as a result of the use of this offer or receipt of the treatment. The Art of Dentistry does not guarantee that the treatments will not cause damage of any kind (whether direct or indirect) to the patient’s teeth or face, and therefore a The Art of Dentistry accepts no responsibility in the event that the treatment causes any damage. Nothing in these terms and conditions excludes or limits liability for personal injury resulting from The Art of Dentistry negligence or for fraudulent misrepresentation, or for any other liability which cannot be limited by law. The Art of Dentistry can vary or replace these conditions from time to time, at its sole discretion. If any provision or part-provision of these terms and conditions is or becomes invalid, illegal or unenforceable, it shall be deemed deleted, but that shall not affect the validity and enforceability of the rest of the terms and conditions.
Update: We are open – Latest News
Dear Patients,
We are open, with new operating procedures to keep us all safe.
For those patients who are booking in to see us now please look out for our pre-appointment email which explains how we have had to change the way we work to safeguard you and the team from any risk of viral spread – here it is:
Dear Patient,
Ahead of your upcoming appointment we have made a number of necessary changes to how we practice to ensure your safety and our safety during the pandemic. Although the UK has passed the infection rate peak the Government has advised all of us to remain on high alert and maintain social distancing.
At The Art of Dentistry we will be using a 6 part protocol to minimise the risk of viral transmission
Pre-appointment screening
Please cancel your appointment if you have experienced any of the following symptoms over the last 14 days:
- Cough
- Sore throat
- Runny nose/sneezing
- Shortness of breath
- Loss of smell
- Fever
Please cancel your appointment if anyone in your household has displayed any of these symptoms in the past 14 days
Please cancel your appointment if you have been asked to self isolate due to COVID 19 over the past 14 days, if you are being tested for COVID 19, or if you have been in contact with anyone suspected of having COVID 19 in the past 14 days.
We will phone you 24 hrs before your visit to check the above.
Maintaining social distancing during your visit
Please drive to the clinic if you can and phone us when you arrive in the car park so that we know you are there. Stay in your car and keep your phone handy so that we can call you in when we are ready for you. Please do not bring any family members with you when you are called in.
If you don’t drive please let us know before your appointment and an alternative arrangement will be made.
Please maintain a distance of 2 metres/6 feet between you and any other patients you encounter during your visit.
Entering the building
Please wear a face mask if you have one. If not we will provide you with one at the door.
We will check your temperature using a non-contact forehead thermometer.
There will be a table on your left with hand sanitiser on it. Please sanitise your hands.
You will need to continue wearing your mask until you enter the treatment room.
Entering the treatment room
Once you are sat in the dental chair we will give you a mouth rinse to use for 1 minute prior to starting your treatment.
Leaving the treatment room
Before leaving the treatment room we will ask you to sanitise your hands again, gel will be provided.
Payment
At this time we will only be taking card payments, no cash transactions. If you require a receipt we can text or email it to you. You will notice that all of us are wearing face-masks and face shields for the duration of your visit. I know this will make some people uncomfortable but I trust that you understand why we must continue to take such precautions at this time.
Thank you for your understanding and for taking the time to read this.
Dr Andrew Fennell
Thank you for your support in keeping everyone safe.
With best wishes,
The The Art of Dentistry Team
tal Care)
Hygiene—What Happens?
What happens to your teeth after 3 months 6 months and 10 months without a dental hygienist cleaning?
Well this is really a very difficult question to answer because each person responds in a different way to bacteria. In dentistry, this is called “host response”.
Happy New Hygienist Regulations
As of last month the General Dental Council – our governing body – has ruled that patients who want to visit a hygienist can do so without the need to have an examination with a dentist.
What this means
In practice these new hygienist regulations mean that if you feel the need to have your teeth cleaned you can go to a hygienist without the need for your dentist to officially ‘refer’ you.
Furthermore if your dentist doesn’t have a hygienist and you feel that you would benefit from seeing one you can turn up and see any hygienist at any dental clinic where they have decided to operate on this basis.
So what?
Well up until now hygienists were not allowed to see patients who had not been directly referred to them by a dentist – if they did this would have been an ‘illegal’ practise and they could lose their job!
At The Art of Dentistry we think this is a fantastic leap of common sense in the world of dentistry. Any legislation which helps to remove barriers between patients who want and need our help is legislation to be celebrated!
So to anyone out there who wants to check in with our lovely hygienist, please pick up the phone and call us for an appointment.
We can usually fit you in within a week!
What’s in a dental checkup?
I was reminded this week of the what a brilliant tool the humble dental checkup is…(assuming it is carried out with some thoroughness and enthusiasm)..
Often I think patients wonder why we do it?
And listening to the dentist counting teeth with the nurse repeating the numbers and tapping away on a keyboard, it must feel like a bit of waste of time for some….and it would be if all we did was look.
(Guess what – if all we do is look, it only takes 3 minutes….and in my opinion we may as well just take a photograph and send the patient home).
Looking for change
But the value of a decent dental check up is often about looking back and – probably more importantly – looking forwards. A good dentist will look in the mouth and compare the current situation to the last check up – looking for change. Change can be good (eg less plaque, better brushing, flossing etc) or change can be bad (fillings wearing out, crowns cracking etc). Often though the real value is in crystal gazing.
We all wish we could predict the future – well in dentistry it’s actually not that hard. Careful examination and an up to date dental examination history will give strong clues as to how long our teeth and our dentistry will last.
The positives for the patient are that
- they can focus their resources on dealing with issues that need immediate attention (ensuring they stay out of pain and continue to be able to eat a normal diet and smile at people)
- they can plan ahead for problems ‘on the horizon’ ie 6, 12, 24 months and even 5 or 10 years ahead.
A good dentist can give you realistic predictions about the longevity of your teeth and dentistry for years ahead.
Long range forecasting ultimately brings peace of mind.
So what?
Well I think in the end it’s all about being mentally prepared. When issues have been predicted well in advance and then happen, people feel ok with it. It’s not a shock, some patients may even have been quietly building their rainy day fund in expectation…
Knowing is better, and less expensive, than not knowing. And that’s why we developed our dental plan
So even the worst problems have been dealt with in advance and managed correctly it is that preparedness which brings peace of mind.
What to do about a missing incisor tooth
As time goes by we have noticed an increasing number of young adults turning up at The Art of Dentistry with..
- crooked and crowded teeth (especially at the front)
- narrow upper or lower jaws
- one or more missing adult teeth (usually front incisors or canines)
- very unhappy with their smile
The cause
With all the problems we have seen above, the cause is an adult tooth (or teeth) that never grew down in to place during childhood.
The other teeth crowded around the space that was left, and whilst often there has been an attempt at correcting the problem with orthodontics, for whatever reason it didn’t work very well….
One other common factor is that again, some patients tell us that their dentist has told them nothing can be done – or if it could it would involve horrible and expensive surgery….
Does this sound like you? What to do about a missing incisor tooth?
Here’s the good news
At The Art of Dentistry we have been successfully treating these cases since the mid 90’s!
Though it is true to say that these cases are challenging – and involve both orthodontics (braces) and one short session with our surgical dentist – the results are very predictable and our patients invariably end up with exactly what they want
- nice straight teeth
- wider smile
- all their own teeth (no implants needed here – your own tooth pulled into the correct position is much better)
- very happy with their smile!
How does it work?
As always it starts with a free consultation to see if you are suitable for this sort of treatment – (most people with ‘trapped’ canines or incisors are)
We then need to utilise our 3D CT specialist dental CT scanner – this is the diagnostic tool we need to accurately visualise the position of the trapped tooth in the bone.
Once we know exactly where it is (to the nearest half millimetre) the surgery to uncover the tip of the tooth becomes easy and keyhole – the CT scan image shows where to go. Normally we can uncover the tip of the tooth within 40 minutes using the Dental Laser! We then bond a little hook onto the tip of the trapped tooth.
The best thing about using lasers instead of scalpels is the wounds heal up much faster and there is much less bleeding during the procedure – truly ‘minimally invasive’
At this stage the (very minor) surgery is all done.
The patient goes to see our friendly orthodontic team along the corridor and they will fit one of our discreet adult braces which attach to the little hook to pull the wayward tooth back down into its proper position.
The process normally takes from 12-18 months.
And the bonus? The same discreet brace is used to widen the smile, and get all those crooked/twisty teeth back into a nice straight line at the same time as pulling down that tooth no one ever thought could be reached!
We love these treatments because they showcase the best of what we can achieve at The Art of Dentistry with our friendly enthusiastic multi-disciplinary team backed up with state of the art technology!
We love our job.
Dentistry is about connecting with people
A wise old dentist once told me ‘dentistry is 85% communication and 15% manual dexterity’ (I’d like to think some of that 15% includes a level of artistry as well!)
What my dad meant was that without a high level of communication – in his opinion – good dentistry can’t happen.
What do we mean
- make the patient feel at home – on the first visit!
- explain all the options and their pros and cons
- talk about fear and pain upfront and how to minimise both
- be honest about the fees
- take time to explain all the issues that can and do occur for a given treatment
- discuss honestly how long the treatment will last and the necessary maintenance
The more we know about a new situation, the less frightened we are by our ‘imagining’ about what may occur. If the patient feels able to approach the dentist and the team at any time with any concern, or question, no matter what it is, then it often happens that 90% of the previous nervousness, phobia or plain fear disappears.
Communicating gets the right results
With the right level of understanding, there need be no second thoughts or surprises, and we are given the proper permission to carry through with our high level dentistry. Building a level of confidence that the results will always match the expectations agreed between dentist and patient, means that patients feel right about things the whole way through
- they know the dentistry looks good and will last
- they are happy and comfortable and devoid of fear
- they get to know how passionate we are about our work!
In the end. It’s all about connecting with people for me too. And that’s what gets me to work every day. That’s what inspires me.
That’s why I do it.
Cosmetic Fillings: Why the Italians have got it White
I am often asked why my white fillings are significantly more expensive than Dr.A.N.Other’s just around the corner. They’re white, right? What more is there to ask?
So I thought that I’d tell a little story about how I ended up spending a considerable number of long weekends hanging out with arguably the best cosmetic filling dentist in the world. He calls them ‘aesthetic composite restorations’ and his name is Dr Lorenzo Vanini (google him and you’ll see). Now Lorenzo, apart from being the best cosmetic dentist in the world is also a fine pianist and jazz-composer, a black belt in karate, and lives on the shores of Lake Como not far from George Clooney.
I went to find Lorenzo because my experience of white fillings was that:
- They didn’t last very long (less than 5 years)
- They didn’t look like tooth, they often looked like murray-mints surrounded by a dark brown leakage-line
- They often had decay underneath them (so if anything, they looked worse underneath than they did on top)
- They were weak and prone to fracture
a n other dentist white filling In short – mercury fillings were better in every way except they looked a bit black!
Lorenzo opened my eyes and proved beyond a doubt that:
- Quality white, cosmetic fillings can last 20 years!
- Quality white, cosmetic fillings are indistinguishable from natural tooth tissue
- They won’t decay underneath (providing a strict placement protocol is adhered to as prescribed by Lorenzo)
- They are strong and not prone to fracture
- They are so much better (for the tooth and patient) than mercury fillings – and they look good to!
Lorenzo opened my ears too, because being a keen musician myself, we inevitably found ourselves jamming after a long hard day’s teaching/learning (and some decent italian wine of course).
Lorenzo also taught me to use his material to produce free-hand immediate veneers which have become a very popular cosmetic treatment here at The Art of Dentistry over the years.
Anyway here is my recipe for making the best white fillings in the world (and our ‘routine’ procedure here at The Art of Dentistry)
- Purchase the best white filling material in the world (‘Enamel Plus’ from Italy, produced by Mycerium, designed by Lorenzo and his chemists)
- Ensure that the tooth is properly numb (using ‘The Wand‘ our painless injection system from the US)
- Apply ‘rubber dam’ to the tooth so that it is isolated from the saliva in the mouth (saliva + white filling = disaster, also we use the rubber dam to prevent bits of mercury filling being ingested!)
- Remove old filling/decay etc, the cavity has to be prepared precisely as prescribed by Lorenzo (margins polished, etc etc)
- Chemically clean cavity (Lorenzo technique)
- Apply bonding agent (Lorenzo technique, the bonding agent is also one of the best in the world – cheap bonding agent = leakage and brown lines around the filling)
- Apply different shades of Enamel Plus filling material, laminating/layering technique as per Lorenzo
- Finish with specific tungsten-carbide tipped drills and specific polishing brushes and pastes (as per Lorenzo’s technique)
- Voila! A white filling that can be (easily) guaranteed for 5 years, will last much much longer, and actually looks like a tooth – even after years of use!
Using the best materials and the best technique and ensuring the best environment for the alchemy to take place takes time, and those materials cost double what the cheap stuff does….but is it worth it?? Of course it is. Anybody for a cheap white filling now?
Fit & Forget Dental Implants – Part 2
So here’s the follow up to my last blog about fit and forget implants:
If you think that you might benefit from dental implants..
here’s a few questions to put to the dentist before you choose to go ahead:
Q. What guarantees do you offer on your dental implants?
Q. Will you replace an implant if it doesn’t take – free of charge?
Q. And in the long term – how will you ensure that I still have my implants in 10 years?
Q. What are the ongoing maintenance requirements for dental implants, and how much does that maintenance cost?
Q. Can I see some before and after photos of your work?
Q. Can I speak to any of your patients who have had implants placed by you? (Ask for testimonials)
Q. How long have you been placing dental implants?
Q. How many implants have you placed?
Q. How many of those implants have failed?
Q. Talk to me about peri-implantitis!
Q. I’m a smoker – am I still suitable for dental implants?
Q. I have had gum disease, this is how I lost my teeth (they got wobbly and fell out), will the same thing happen to my dental implants?
Its important to know everything before you choose, and of course, we’ll answer all these questions for you in the Free Consultation.
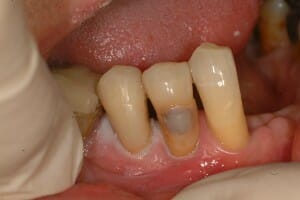
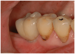
Fit and Forget Dental Implants?
I love talking my patients. They are my lifeline to the real world out there – (you know the one where most people don’t spend all day every day thinking about teeth!)
This lady is one of my long standing dental implant patients – a few years ago we completely rebuilt her upper teeth using custom porcelain bridges supported on titanium implants
The thing is, they look as good today as the day we fitted them all that time ago. But this is no accident. This lady follows Laura’s (one of our lovely hygienists – yes they’re out there, honest!) advice to the letter. She cleans the bridges and implants twice a day, and visits us every 6 months for her Healthy Mouth Review to allow us to monitor the health of her mouth and implants, to clean those areas even she can’t get to, and to carry out our Oral Cancer Check.
This is routine at The Art of Dentistry.
Implants need as much – possibly more – upkeep than natural teeth…they are a great copy of the real thing (better than a chinese rolex) but even I don’t claim to have beaten mother nature at her own game!
So when Gill told me yesterday that she is coming across more and more people who are benefiting from this sort of dental treatment – but some of them can’t understand why she has to keep coming back to see us for what they see as ‘unnecessary maintenance’, I had to press her for further clarification! ‘Why?,’ I said. And Gill went onto explain that these patients are popping into dental practices (yes in the UK) and having implants placed ‘as if they are just expensive fillings’!
This is a worrying trend. Problems with dental implants rarely cause pain, so for a patient who has been advised in this way the first time they realise there is a problem with their dental implants might be the day they fall out! The fact that this may take 5-10 years is what is protecting both these dentists (and their patients – ignorance is bliss) for the time-being. But it’s a ticking time-bomb. These cheap ‘quick-fit’ (and forget) implants have been placed in the last couple of years as more and more of the profession learn about them – in response to greater and greater demand from patients….alas it is only a matter of time before the chickens come home to roost. And when they do, the only winners (as usual) will be the lawyers.
Leaving the cost issue aside, once implants fail it is not nearly as easy to do them a 2nd time. The bone around them disappears – which is why they fall out – so if they fall out, by definition there is often no bone left to put another one in….and this puts us right back to the 1970s: dentures for all.
Happy Easter. Lay off the eggs 😉























