
What happens to your teeth after 3 months 6 months and 10 months without a dental hygienist cleaning?
Well this is really a very difficult question to answer because each person responds in a different way to bacteria. In dentistry, this is called “host response”.
My role as a hygienist is to prevent gum disease and tooth decay.
For this article, let’s focus on one of these, gum disease, to keep it simple and show what happens over time when you aren’t getting your teeth fully cleaned.
Most people believe brushing their teeth is adequate as I often hear:
“I brush really well twice a day how can I have gum disease?” or “My gums have been bleeding for years I guess I brush too hard.”
A large part of my job is to find this out, why?
I would generally start with finding out their oral hygiene routine, lifestyle ie smoking drinking, health status and family history of any gum disease. I would then tailor a treatment plan to the individual’s needs. This would include oral hygiene instructions and treatment in the surgery.
Treatment in the surgery depends on the findings, sometimes a simple scale and polish is adequate to maintain oral health, however if a patient has periodontitis the hygienist would carry out root surface debridement (a gentle ultrasonic technology to remove highly pathogenic, free-floating bacteria under the gums and on the root surface of the teeth. The water in the ultrasonic scaler flushes out bacteria, and calculus deposits are removed by mechanical vibration. The same unit is used for gingivitis and periodontitis we are just working on the root surfaces below the gums gum when dealing with periodontitis.
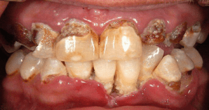
The word “prevent” is interesting as it is estimated that over 70% of the population has gum disease!
Gingivitis and periodontitis: which one would you rather have?
However, there are two types of gum disease, gingivitis and periodontitis.
Gingivitis is a reversible bacterial infection of the gums that causes inflammation and bleeding whereas periodontitis is a bacterial infection that is not reversible and the bone that holds in the teeth is destroyed. You definitely want to avoid this!
Gingivitis does not always turn into periodontitis. This depends on you, the host.
The hygienist aims to halt the disease, not cure it. This would consist of several root surface debridement appointments often with the use of local anaesthetic. Pre-and post-measurements of the gums are taken, we call this pocket depths. A healthy pocket depth is 3mm or less so unhealthy pocket depthg is over 3mm. We use a special probe called a Williams probe to slide below the gums in 6 points on each tooth. This is then recorded on the chart to monitor stabilisation or progression of the disease.
The majority of patients would not have periodontitis if they would have had preventative hygiene every 6 months visits from a young age.
To illustrate this, here is a diagramme showing look at how incredibly quickly bacteria multiplies over time:
Of course not all bacteria is harmful and some people may have more of the bad bacteria than others, which is why periodontal disease is complex and depends on the host response to the bacteria, general health and genetics.
So, to answer the question
- A 10 months or longer wait between appointments is rarely advised as too much bacteria would have accumulated
- 6 months is advised to prevent disease in a healthy mouth where the bacteria is not causing disease
- Hygiene cleaning every 3 months is for patients who have suffered from periodontitis or are at risk. Evidence suggests this is when the bacteria become disease causing again.
As a bonus – you can look away if you’re squeamish – or scroll down if you are brave and want to see what bacteria can do if left without a proper cleaning.








