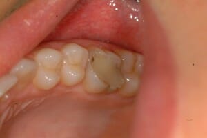
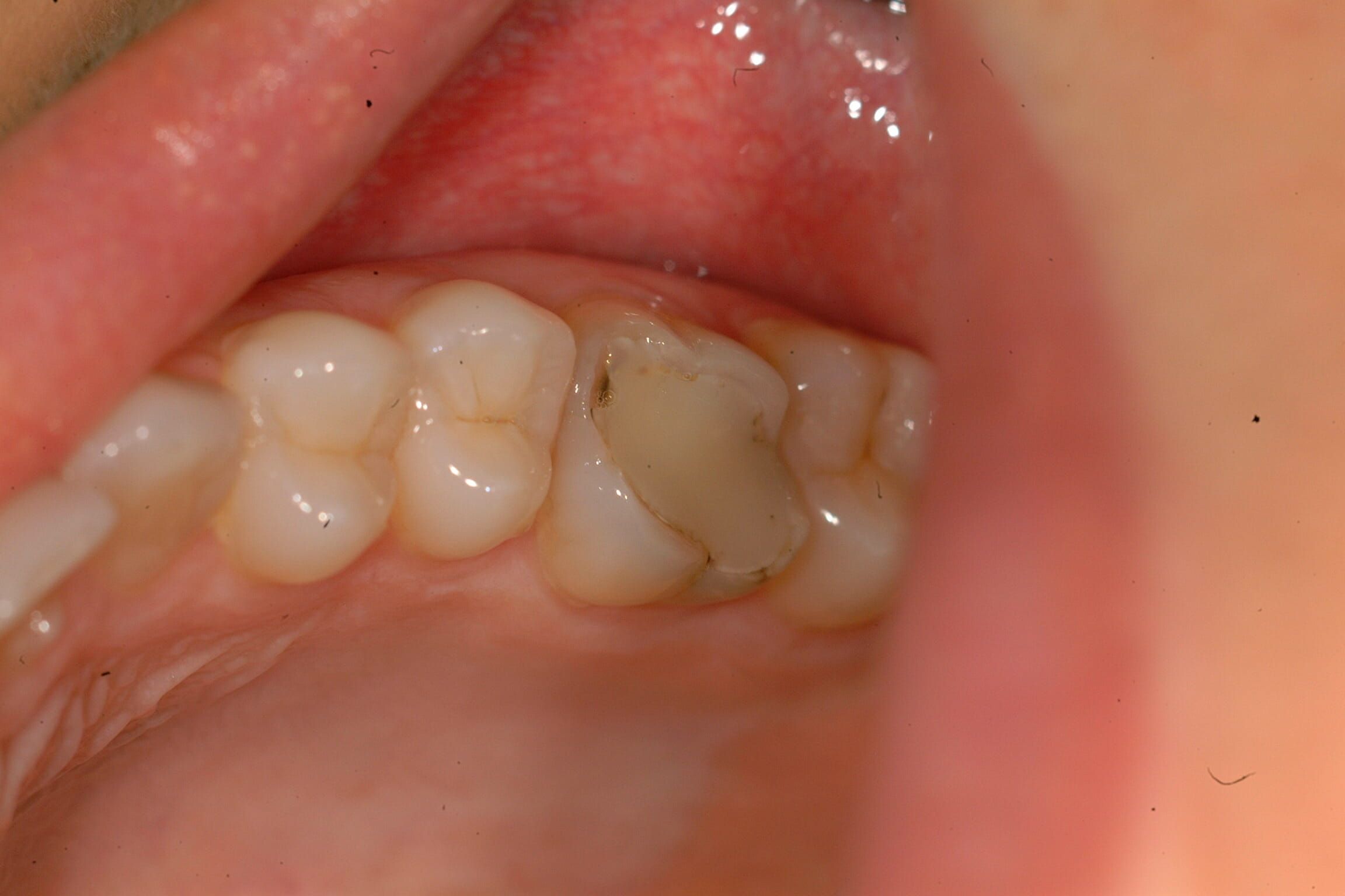
Can you spot the grotty ‘white’ filling in the middle of the picture? Believe it or not this filling was not done at the turn of the century but completed a couple of years ago!
If you look at the tooth to the left of the one with the grotty ‘white’ filling you may be surprised to know that 15 mins previous to this photo it looked exactly like the grotty one. We are replacing this chap’s ugly white fillings with nice shiny new ones that look their age (ie well into the 21st century)…
People often ask if we enjoy dentistry. But who wouldn’t like being able to take out that grotty old filling and replace it with a nice shiny new one. We can get this invisible effect using our beautiful italian white filling materials, and a little bit of technique to go with it!!
Ok here’s the rub:
Grotty white filling in the middle of the picture
Estimated cost £20
Estimated time involved 5 mins
No guarantees
Replace every 2 years?
Shiny new Italian composite filling on the left
Time involved 15 mins
Cost £70
Cost of filling material: at least double that of the cheap stuff
5 year guarantee.
Quality dentistry costs less over time and makes you feel good.















