I am often asked why my white fillings are significantly more expensive than Dr.A.N.Other’s just around the corner. They’re white, right? What more is there to ask?
So I thought that I’d tell a little story about how I ended up spending a considerable number of long weekends hanging out with arguably the best cosmetic filling dentist in the world. He calls them ‘aesthetic composite restorations’ and his name is Dr Lorenzo Vanini (google him and you’ll see). Now Lorenzo, apart from being the best cosmetic dentist in the world is also a fine pianist and jazz-composer, a black belt in karate, and lives on the shores of Lake Como not far from George Clooney.
I went to find Lorenzo because my experience of white fillings was that:
- They didn’t last very long (less than 5 years)
- They didn’t look like tooth, they often looked like murray-mints surrounded by a dark brown leakage-line
- They often had decay underneath them (so if anything, they looked worse underneath than they did on top)
- They were weak and prone to fracture
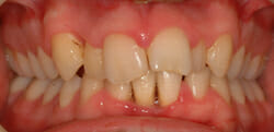
a n other dentist white filling In short – mercury fillings were better in every way except they looked a bit black!
Lorenzo opened my eyes and proved beyond a doubt that:
- Quality white, cosmetic fillings can last 20 years!
- Quality white, cosmetic fillings are indistinguishable from natural tooth tissue
- They won’t decay underneath (providing a strict placement protocol is adhered to as prescribed by Lorenzo)
- They are strong and not prone to fracture
- They are so much better (for the tooth and patient) than mercury fillings – and they look good to!
Lorenzo opened my ears too, because being a keen musician myself, we inevitably found ourselves jamming after a long hard day’s teaching/learning (and some decent italian wine of course).
Lorenzo also taught me to use his material to produce free-hand immediate veneers which have become a very popular cosmetic treatment here at The Art of Dentistry over the years.
Anyway here is my recipe for making the best white fillings in the world (and our ‘routine’ procedure here at The Art of Dentistry)
- Purchase the best white filling material in the world (‘Enamel Plus’ from Italy, produced by Mycerium, designed by Lorenzo and his chemists)
- Ensure that the tooth is properly numb (using ‘The Wand‘ our painless injection system from the US)
- Apply ‘rubber dam’ to the tooth so that it is isolated from the saliva in the mouth (saliva + white filling = disaster, also we use the rubber dam to prevent bits of mercury filling being ingested!)
- Remove old filling/decay etc, the cavity has to be prepared precisely as prescribed by Lorenzo (margins polished, etc etc)
- Chemically clean cavity (Lorenzo technique)
- Apply bonding agent (Lorenzo technique, the bonding agent is also one of the best in the world – cheap bonding agent = leakage and brown lines around the filling)
- Apply different shades of Enamel Plus filling material, laminating/layering technique as per Lorenzo
- Finish with specific tungsten-carbide tipped drills and specific polishing brushes and pastes (as per Lorenzo’s technique)
- Voila! A white filling that can be (easily) guaranteed for 5 years, will last much much longer, and actually looks like a tooth – even after years of use!
Using the best materials and the best technique and ensuring the best environment for the alchemy to take place takes time, and those materials cost double what the cheap stuff does….but is it worth it?? Of course it is. Anybody for a cheap white filling now?
















