BDS GDC Number 244801
Dr. Jonathon Woods obtained his degree from Cardiff University in 2013 and subsequently gained professional experience in Somerset and Suffolk prior to joining The Art of Dentistry.
His areas of interest within dentistry encompass implants and restorative dentistry, with a focus on enhancing the appearance of natural teeth and providing tooth replacements in cases of loss.
Beyond his dental practice, he enjoys recreational activities such as motorcycle riding and engaging in hockey games.
One of Jonathon’s Recent Cases


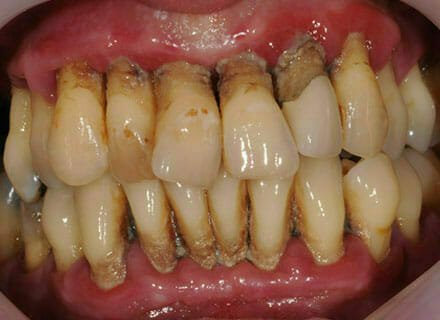
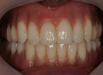
Failing teeth from Gum/Periodontal disease
This lady had all three. Within 2 months we had fixed a whole new set of teeth in place using Implant retained dentures upper and lower. Implant dentures are the most cost effective way of replacing a full jaw or arch of teeth or a whole set.
Why Choose The Art of Dentistry?

Advanced Dentistry
We strive to keep up to date with all modern digital dentistry techniques and equipment. Our surgeries are unrecognisable from a few years ago. The precision we can achieve means longer-lasting treatments.

Orthodontics
The art and science of Orthodontic teeth straightening is one of our particular interest subjects. We do whatever we can to preserve natural teeth and give new life to smiles with cosmetic enhancements when needed.

Innovative Dentistry
Innovative dentistry is one thing we love. The industry is still developing new techniques, procedures and materials. When backed by studies, we are keen to adopt anything that improves our dentistry for patients.

Natural Teeth Beauty
Preserving the teeth is our foremost concern; they really can last a lifetime with a mixture of luck, planning and careful treatment. We would rather preserve a tooth by all means necessary than remove them to make our work easier.

Gentle Dentistry
Taking the time you need is the best way to manage pain. We never rush. We are friendly and conversational, watching for your feedback and checking with you at every step. Nervous patients can feel at home here.

Confidence and Joy
We notice how the treatment of the teeth makes people feel; confidence is the most noticeable aspect of a great smile. We think the ability to smile more is underestimated – it makes us all nicer to be around.
FREE Dental Consultation
Without seeing things for ourselves, we can’t tell people what their options are.
And so with that in mind, we are happy to offer free consultations, as this is a big decision for most people. We are careful to take budget, comfort and appearance into account when explaining all the available choices and there is never any pressure to proceed, and certainly not on the day.
We set out to be a friendly practice and try to provide everybody with what’s right for them, at an affordable cost. We hope our dentist reviews give that impression.






