Orthodontic Before and After Gallery
Complex orthodontic case with multiple missing teeth

This patient came to us with 2 big issues: he had a number of failing teeth in the lower jaw…
Dental Services: Orthodontics, Dental Implants
Open bite, protruding upper teeth

How a big open bite can be closed down while at the same time straightening all the teeth and closing gaps! Using clear fixed braces over around 18 months. Please note that the swollen gums in the after photos are what happens if a patient is not cleaning …
Dental Services: Orthodontics
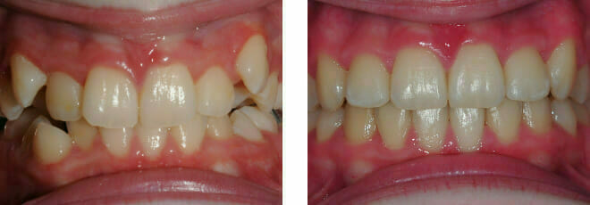
Widening the smile and fixing a crossbite

This patient was unhappy that his upper jaw was too small and did not fit with his lower jaw. the bite was all wrong and the front teet stuck out too much.
Dental Services: Orthodontics
SPACING!

Ovely little case around 9 months to close a gappy smile and pull protruding ‘buck’ teeth back in to the correct position.
Dental Services: Orthodontics
Invisalign case with cosmetic composite bonding and professional teeth whitening

This patient did not like the edge to edge position of the front teeth, the crookedness and crowding, and the yellow colour. We completed invisalign clear aligner treatment in under 12 months…
Dental Services: Cosmetic Dentistry, Invisalign, Orthodontics, Teeth Whitening
Combined dental implant and orthodontic treatment

Young man was in his early 30s and still had a baby tooth which was small, damaged and loose on the upper left. He was unhappy with his lopsided smile and tried not to smile too broadly as the old baby tooth really showed…
Dental Services: Orthodontics, Dental Implants
Big gaps and missing back teeth

This is a case where orthodontics and dental implants were used. First we closed the big gaps at the front using a fixed clear brace (this took under 12 months…
Dental Services: Orthodontics, Dental Implants
Closing gaps left by extracted teeth, correcting the position of a front incisor tooth trapped behind the bite

In this case the whole smile was affected by a tooth that was missing (a visible gap or hole at the side when smiling) and a tooth at the front that had grown the wrong side of the bite…
Dental Services: Orthodontics
Fixing protruding teeth upper and lower and crowding – no extractions

this patient didn’t like the teeth because they pushed forwards and were sticking out and pushing out her lips. She…
Dental Services: Orthodontics
Front teeth too big, crowding and a deep overbite

In this case, we needed to reduce the size of the central incisors as they were just too big. This…
Dental Services: Orthodontics
Spaces, big gaps between teeth

This patient was unhappy with the appearance of gaps between all his teeth when he smiled. We were able to…
Dental Services: Orthodontics
Arch expansion – widening of the upper jaw in an adult patient

This patient did not like her narrow upper jaw and smile, the crowded teeth, the over-sized upper front incisor teeth….
Dental Services: Orthodontics
Severe lower crowding, mild upper crowding

This case took under 12 months to straighten the very crooked teeth in the lower jaw and align the uppers…
Dental Services: Orthodontics
Narrow jaws, open bite, severe crowding non extraction

This patient came to us because she hated her smile: it was too narrow, the upper front teeth were all…
Dental Services: Orthodontics
Making a wider smile and straightening very crooked upper front teeth

In this case, the upper incisors had a pushed back appearance and they were twisted. the smile was narrow –…
Dental Services: Orthodontics
Severe overbite/overjet reduction/relief of severe crowding lower front teeth

This lady came to us because she said she was goofy – her front teeth were sticking out. In the…
Dental Services: Orthodontics
Overbite reduction, lower crooked teeth, straightening

This gentleman was in his 50s and didn’t like his buck teeth, increased overbite and jumbled lower teeth. we fitted clear brackets and realigned all the teeth over approximately…
Dental Services: Orthodontics, Dental Implants
Severe crowding upper and lower teeth, canines sticking out

This lady hated her very uneven smile, all the teeth sticking out at the sides, teeth bunched together and uneven.
Dental Services: Orthodontics
Crowding and a tooth in the roof of the mouth!

This lady came to us because she was unhappy with her crooked, uneven teeth. The front ones were sticking out and she didn’t like her overbite.
Dental Services: Orthodontics
Invisalign Lite for Crowding

Invisalign Lite is available for patients with minor crowding and spacing, specifically designed to provide affordable, predictable treatment for simple…
Dental Services: Orthodontics, Invisalign
Complex Invisalign Before and After

This was one of the more complex Invisalign cases, and it demonstrates that the system can handle some quite significant movement of teeth when required…
Dental Services: Orthodontics, Invisalign
Straightening Teeth without Visible Braces

Simpli 5 is a basic clear aligner system that is great for straightening slightly crooked or spaced teeth. There are 5 clear gum shields that are almost invisible when worn; by changing these every month, the teeth are gradually moved in to a straight line.
Dental Services: Orthodontics, Invisalign
Early Orthodontic Treatment

Often, the best time to treat kids is just before their big growth spurt (9 for girls, 11 for boys). By harnessing the growth spurt in the right way we can drastically improve the smile. This means that treatment in the future is much easier, takes less time, ..
Dental Services: Orthodontics, General Dentistry
Inman Aligner

This lady hated her smile for years. She didn’t like the way the front teeth tipped backwards and especially didn’t like the way the lateral incisors stuck out…
Dental Services: Orthodontics






